![Anti-Vimentin antibody [GT7812] used in Western Blot (WB). GTX629743](/upload/website/prouct_img/middle/GTX629743/GTX629743_41421_20161110_WB_shRNA_watermark_w_23061202_402.webp) 
                                                        
                                                    Non-transfected (–) and transfected (+) 293T whole cell extracts (30 μg) were separated by 10% SDS-PAGE, and the membrane was blotted with Vimentin antibody [GT7812] (GTX629743) diluted at 1:2000. The HRP-conjugated anti-mouse IgG antibody (GTX213111-01) was used to detect the primary antibody.
![Anti-Vimentin antibody [GT7812] used in Western Blot (WB). GTX629743](/upload/website/prouct_img/middle/GTX629743/GTX629743_43248_20200110_WB_KO_watermark_w_23061202_525.webp) 
                                                            
                                                        
                                                    Wild-type (WT) and Vimentin knockout (KO) 293T cell extracts (30 μg) were separated by 10% SDS-PAGE, and the membrane was blotted with Vimentin antibody [GT7812] (GTX629743) diluted at 1:20000. The HRP-conjugated anti-mouse IgG antibody (GTX213111-01) was used to detect the primary antibody.
![Anti-Vimentin antibody [GT7812] used in Western Blot (WB). GTX629743](/upload/website/prouct_img/middle/GTX629743/GTX629743_43248_20200115_WB_competitor_watermark_2_w_23061202_863.webp) 
                                                            
                                                        
                                                    
                                                                    Various whole cell extracts (30 μg) were separated by 10% SDS-PAGE, and the membranes were blotted with Vimentin antibody [GT7812] (GTX629743) diluted at 1:5000 and competitor's antibody diluted at 1:5000. The HRP-conjugated anti-mouse IgG antibody (GTX213111-01) was used to detect the primary antibody.
*The competitor is not affiliated with GeneTex and does not endorse this product.
                                                                
![Anti-Vimentin antibody [GT7812] used in Western Blot (WB). GTX629743](/upload/website/prouct_img/middle/GTX629743/GTX629743_43248_20201016_WB_B_w_23061202_767.webp) 
                                                            
                                                        
                                                    Non-transfected (–) and transfected (+) 293T whole cell extracts (10 μg) were separated by 10% SDS-PAGE, and the membrane was blotted with Vimentin antibody [GT7812] (GTX629743) diluted at 1:10000. The HRP-conjugated anti-mouse IgG antibody (GTX213111-01) was used to detect the primary antibody.
![Anti-Vimentin antibody [GT7812] used in IHC (Paraffin sections) (IHC-P). GTX629743](/upload/website/prouct_img/middle/GTX629743/GTX629743_41421_20141205_IHC_w_23061202_137.webp) 
                                                            
                                                        
                                                    
                                                                    Vimentin antibody [GT7812] detects Vimentin protein at fibroblasts on human breast carcinoma by immunohistochemical analysis. 
Sample: Paraffin-embedded human breast carcinoma. 
Vimentin antibody [GT7812] (GTX629743) diluted at 1:500.
Antigen Retrieval: Trilogy™ (EDTA based, pH 8.0) buffer, 15min
                                                                
![Anti-Vimentin antibody [GT7812] used in IHC (Paraffin sections) (IHC-P). GTX629743](/upload/website/prouct_img/middle/GTX629743/GTX629743_41421_20151223_IHC-P_w_23061202_750.webp) 
                                                            
                                                        
                                                    
                                                                    Vimentin antibody [GT7812] detects Vimentin protein at cytoplasm in human lung carcinoma by immunohistochemical analysis. 
Sample: Paraffin-embedded human lung carcinoma. 
Vimentin antibody [GT7812] (GTX629743) diluted at 1:500.
Antigen Retrieval: Trilogy™ (EDTA based, pH 8.0) buffer, 15min
                                                                
![Anti-Vimentin antibody [GT7812] used in Western Blot (WB). GTX629743](/upload/website/prouct_img/middle/GTX629743/GTX629743_41421_WB_M_w_23061202_259.webp) 
                                                            
                                                        
                                                    
                                                                    Vimentin antibody [GT7812] detects Vimentin protein by western blot analysis.
A. 30 μg C8D30 whole cell lysate/extract
B. 30 μg NIH-3T3 whole cell lysate/extract
C. 30 μg C2C12 whole cell lysate/extract
10% SDS-PAGE
Vimentin antibody [GT7812] (GTX629743) dilution: 1:1000 
The HRP-conjugated anti-mouse IgG antibody (GTX213111-01) was used to detect the primary antibody.
                                                                
![Anti-Vimentin antibody [GT7812] used in ELISA (ELISA). GTX629743](/upload/website/prouct_img/middle/GTX629743/GTX629743_41421_20200117_ELISA_PAIR_w_23061202_790.webp) 
                                                            
                                                        
                                                    Sandwich ELISA detection of recombinant full-length Vimentin protein using GTX629743 as capture antibody at concentration of 5 μg/mL and GTX100619 as detection antibody at concentration of 1 μg/mL. Rabbit IgG antibody (HRP) (GTX213110-01) was diluted at 1:10000 and used to detect the primary antibody.
![Anti-Vimentin antibody [GT7812] used in ELISA (ELISA). GTX629743](/upload/website/prouct_img/middle/GTX629743/GTX629743_41421_20200117_ELISA_PAIR_2_w_23061202_829.webp) 
                                                            
                                                        
                                                    Sandwich ELISA detection of recombinant full-length Vimentin protein using GTX629743 as capture antibody at concentration of 5 μg/mL and GTX112661 as detection antibody at concentration of 1 μg/mL. Rabbit IgG antibody (HRP) (GTX213110-01) was diluted at 1:10000 and used to detect the primary antibody.
![Anti-Vimentin antibody [GT7812] used in Immunocytochemistry/ Immunofluorescence (ICC/IF). GTX629743](/upload/website/prouct_img/middle/GTX629743/GTX629743_43248_20180905_ICC_IF_w_23061202_339.webp) 
                                                            
                                                        
                                                    Vimentin antibody [GT7812] detects Vimentin protein at cytoskeleton by immunofluorescent analysis.Sample: HeLa cells were fixed in 4% paraformaldehyde at RT for 15 min.Green: Vimentin stained by Vimentin antibody [GT7812] (GTX629743) diluted at 1:500.Blue: Hoechst 33342 staining.Scale bar= 10 μm.
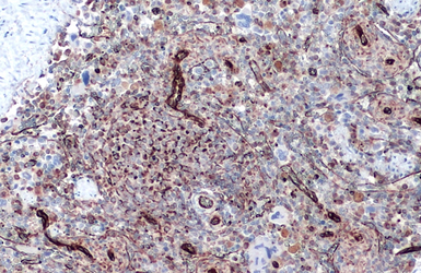
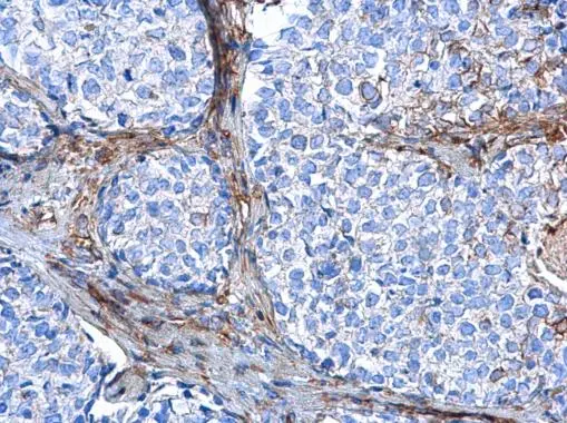
![Anti-Vimentin antibody [GT7812] used in IHC (Paraffin sections) (IHC-P). GTX629743](/upload/website/prouct_img/middle/GTX629743/GTX629743_41421_20141205_IHC_2_w_23061202_795.webp) 
                                                            
                                                        
                                                    
                                                                    Vimentin antibody [GT7812] detects Vimentin protein at fibroblasts on human endometrial carcinoma by immunohistochemical analysis. 
Sample: Paraffin-embedded human endometrial carcinoma. 
Vimentin antibody [GT7812] (GTX629743) diluted at 1:500.
Antigen Retrieval: Trilogy™ (EDTA based, pH 8.0) buffer, 15min
                                                                
![Anti-Vimentin antibody [GT7812] used in Western Blot (WB). GTX629743](/upload/website/prouct_img/middle/GTX629743/GTX629743_43248_20180706_WB_w_23061202_730.webp) 
                                                            
                                                        
                                                    Various whole cell extracts (30 μg) were separated by 10% SDS-PAGE, and the membrane was blotted with Vimentin antibody [GT7812] (GTX629743) diluted at 1:10000. The HRP-conjugated anti-mouse IgG antibody (GTX213111-01) was used to detect the primary antibody, and the signal was developed with Trident ECL plus-Enhanced.
![Anti-Vimentin antibody [GT7812] used in Immunocytochemistry/ Immunofluorescence (ICC/IF). GTX629743](/upload/website/prouct_img/middle/GTX629743/GTX629743_41421_20190626_ICC_IF_D_22111423_223.webp) 
                                                            
                                                        
                                                    Vimentin antibody [GT7812] detects Vimentin protein at cytoskeleton by immunofluorescent analysis.Sample: MDCK cells were fixed in 4% paraformaldehyde at RT for 15 min.Green: Vimentin stained by Vimentin antibody [GT7812] (GTX629743) diluted at 1:100.Blue: Hoechst 33342 staining.Scale bar= 10 μm.
![Anti-Vimentin antibody [GT7812] used in Western Blot (WB). GTX629743](/upload/website/prouct_img/middle/GTX629743/GTX629743_41421_20161110_WB_shRNA_watermark_w_23061202_402.webp) 
                                            ![Anti-Vimentin antibody [GT7812] used in Western Blot (WB). GTX629743](/upload/website/prouct_img/middle/GTX629743/GTX629743_43248_20200110_WB_KO_watermark_w_23061202_525.webp) 
                                            ![Anti-Vimentin antibody [GT7812] used in Western Blot (WB). GTX629743](/upload/website/prouct_img/middle/GTX629743/GTX629743_43248_20200115_WB_competitor_watermark_2_w_23061202_863.webp) 
                                            ![Anti-Vimentin antibody [GT7812] used in Western Blot (WB). GTX629743](/upload/website/prouct_img/middle/GTX629743/GTX629743_41421_20180817_WB_w_23061202_937.webp) 
                                            ![Anti-Vimentin antibody [GT7812] used in Western Blot (WB). GTX629743](/upload/website/prouct_img/middle/GTX629743/GTX629743_43248_20201016_WB_B_w_23061202_767.webp) 
                                            ![Anti-Vimentin antibody [GT7812] used in IHC (Paraffin sections) (IHC-P). GTX629743](/upload/website/prouct_img/middle/GTX629743/GTX629743_41421_20141205_IHC_w_23061202_137.webp) 
                                            ![Anti-Vimentin antibody [GT7812] used in IHC (Paraffin sections) (IHC-P). GTX629743](/upload/website/prouct_img/middle/GTX629743/GTX629743_41421_20151223_IHC-P_w_23061202_750.webp) 
                                            ![Anti-Vimentin antibody [GT7812] used in Western Blot (WB). GTX629743](/upload/website/prouct_img/middle/GTX629743/GTX629743_41421_WB_M_w_23061202_259.webp) 
                                            ![Anti-Vimentin antibody [GT7812] used in ELISA (ELISA). GTX629743](/upload/website/prouct_img/middle/GTX629743/GTX629743_41421_20200117_ELISA_PAIR_w_23061202_790.webp) 
                                            ![Anti-Vimentin antibody [GT7812] used in IHC (Frozen sections) (IHC-Fr). GTX629743](/upload/website/prouct_img/middle/GTX629743/GTX629743_41421_20150703_IHC-Fr_M_w_23061202_826.webp) 
                                            ![Anti-Vimentin antibody [GT7812] used in ELISA (ELISA). GTX629743](/upload/website/prouct_img/middle/GTX629743/GTX629743_41421_20200117_ELISA_PAIR_2_w_23061202_829.webp) 
                                                    
                                            ![Anti-Vimentin antibody [GT7812] used in Immunocytochemistry/ Immunofluorescence (ICC/IF). GTX629743](/upload/website/prouct_img/middle/GTX629743/GTX629743_43248_20180905_ICC_IF_w_23061202_339.webp) 
                                                    
                                            ![Anti-Vimentin antibody [GT7812] used in IHC (Paraffin sections) (IHC-P). GTX629743](/upload/website/prouct_img/middle/GTX629743/GTX629743_41421_20141205_IHC_2_w_23061202_795.webp) 
                                                    
                                            ![Anti-Vimentin antibody [GT7812] used in Western Blot (WB). GTX629743](/upload/website/prouct_img/middle/GTX629743/GTX629743_43248_20180706_WB_w_23061202_730.webp) 
                                                    
                                            ![Anti-Vimentin antibody [GT7812] used in Western Blot (WB). GTX629743](/upload/website/prouct_img/middle/GTX629743/GTX629743_41421_20160908_WB_R_brain_w_23061202_601.webp) 
                                                    
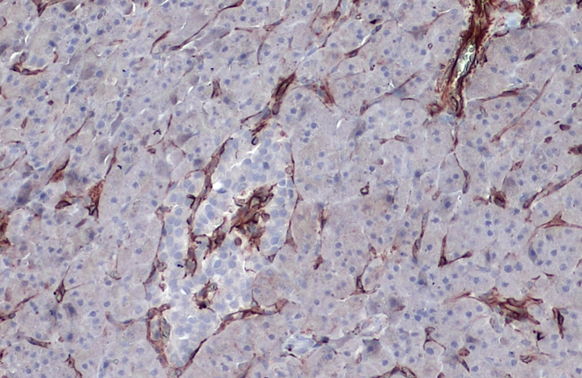
                                            ![Anti-Vimentin antibody [GT7812] used in IHC (Paraffin sections) (IHC-P). GTX629743](/upload/website/prouct_img/middle/GTX629743/GTX629743_41421_20190322_IHC-P_D_1_22111423_740.webp) 
                                                    
                                            ![Anti-Vimentin antibody [GT7812] used in IHC (Paraffin sections) (IHC-P). GTX629743](/upload/website/prouct_img/middle/GTX629743/GTX629743_41421_20190322_IHC-P_D_22111423_649.webp) 
                                                    
                                            ![Anti-Vimentin antibody [GT7812] used in Immunocytochemistry/ Immunofluorescence (ICC/IF). GTX629743](/upload/website/prouct_img/middle/GTX629743/GTX629743_41421_20190626_ICC_IF_D_22111423_223.webp) 
                                                    
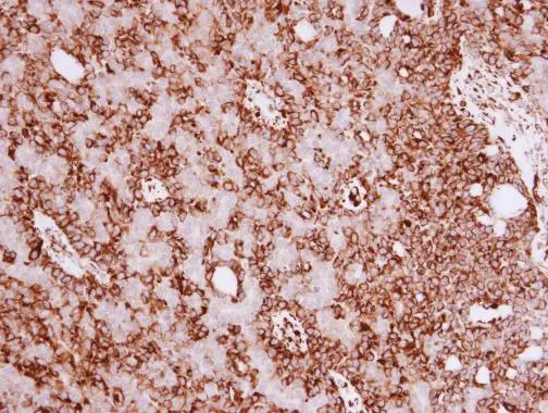
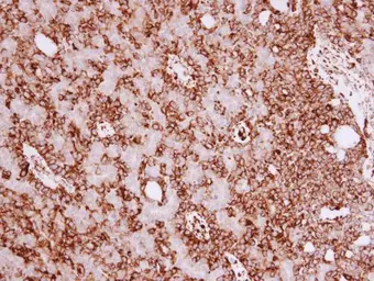
                                            ![Anti-Vimentin antibody [GT7812] used in IHC (Paraffin sections) (IHC-P). GTX629743](/upload/website/prouct_img/middle/GTX629743/GTX629743_43248_20210423_IHC-P_DOG_1_22111423_108.webp) 
                                                    
                                            ![Anti-Vimentin antibody [GT7812] used in Western Blot (WB). GTX629743](/upload/website/prouct_img/middle/GTX629743/GTX629743_43248_20200214_WB_D_C_22111423_457.webp) 
                                                    
                                            ![Anti-Vimentin antibody [GT7812] used in IHC (Paraffin sections) (IHC-P). GTX629743](/upload/website/prouct_img/middle/GTX629743/GTX629743_43248_20210423_IHC-P_DOG_22111423_821.webp) 
                                                    
                                            - 
                                            宿主Mouse
- 
                                            克隆Monoclonal
- 
                                            克隆编号GT7812
- 
                                                同种型IgG2a
- 
                                            实验应用WB ICC/IF IHC-P IHC-Fr ELISA Sandwich ELISA
- 
                                            种属反应Human, Mouse, Rat, Cat, Dog
 
                                             
                                             
                                            