Vimentin抗体 [HL1506]
目录号 GTX636980
                        目录号  GTX636980
                                
                    
                            - 
                                            宿主Rabbit
- 
                                            克隆Monoclonal
- 
                                            克隆编号HL1506
- 
                                                同种型IgG
- 
                                            实验应用WB ICC/IF IHC-P
- 
                                            种属反应Human, Mouse, Rat, Cat
 
                                             
                                             
                                             
                                             
                                            ![Anti-Vimentin antibody [HL1506] used in Western Blot (WB). GTX636980](/upload/website/prouct_img/middle/GTX636980/GTX636980_44725_20220819_WB_KO_watermark_22082402_854.webp) 
                                                        ![Anti-Vimentin antibody [HL1506] used in Western Blot (WB). GTX636980](/upload/website/prouct_img/middle/GTX636980/GTX636980_44725_20220812_WB_competitor_watermark_22081423_808.webp) 
                                                            
                                                        ![Anti-Vimentin antibody [HL1506] used in Western Blot (WB). GTX636980](/upload/website/prouct_img/middle/GTX636980/GTX636980_45278_20240105_WB_TPM_watermark_25061003_537.webp) 
                                                            
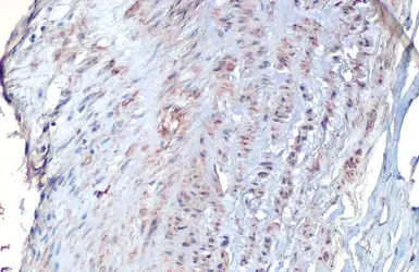
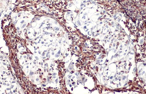
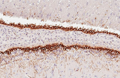
                                                        ![Anti-Vimentin antibody [HL1506] used in IHC (Paraffin sections) (IHC-P). GTX636980](/upload/website/prouct_img/middle/GTX636980/GTX636980_44725_20230331_IHC-P_Cat_23032819_622.webp) 
                                                            
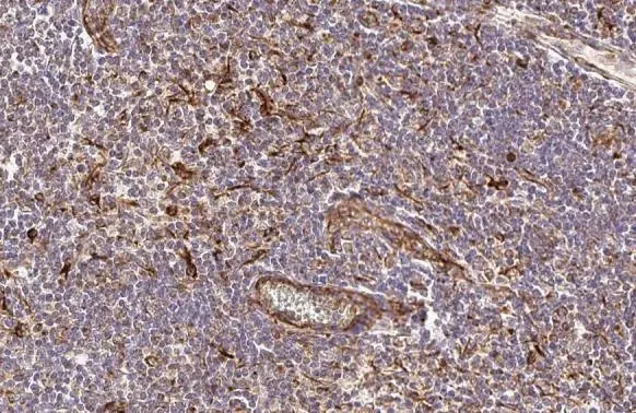
                                                        ![Anti-Vimentin antibody [HL1506] used in IHC (Paraffin sections) (IHC-P). GTX636980](/upload/website/prouct_img/middle/GTX636980/GTX636980_44725_20221228_IHC-P_multiple_M_22122901_907.webp) 
                                                            
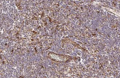
                                                        ![Anti-Vimentin antibody [HL1506] used in IHC (Paraffin sections) (IHC-P). GTX636980](/upload/website/prouct_img/middle/GTX636980/GTX636980_44725_20221228_IHC-P_multiple_R_22122901_646.webp) 
                                                            
                                                        ![Anti-Vimentin antibody [HL1506] used in Immunocytochemistry/ Immunofluorescence (ICC/IF). GTX636980](/upload/website/prouct_img/middle/GTX636980/GTX636980_T-44676_20220916_ICC_IF_22102723_567.webp) 
                                                            
                                                        ![Anti-Vimentin antibody [HL1506] used in Western Blot (WB). GTX636980](/upload/website/prouct_img/middle/GTX636980/GTX636980_44725_20220812_WB_B_22081423_799.webp) 
                                                            
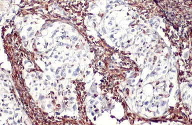
                                                        ![Anti-Vimentin antibody [HL1506] used in IHC (Paraffin sections) (IHC-P). GTX636980](/upload/website/prouct_img/middle/GTX636980/GTX636980_44725_20220701_IHC-P_22071823_281.webp) 
                                                            
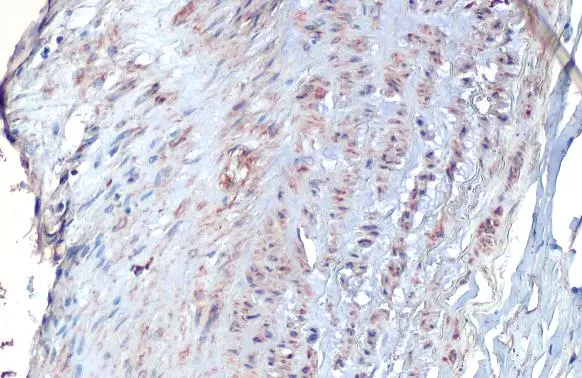
                                                        ![Anti-Vimentin antibody [HL1506] used in IHC (Paraffin sections) (IHC-P). GTX636980](/upload/website/prouct_img/middle/GTX636980/GTX636980_44725_20220701_IHC-P_M_22071823_395.webp) 
                                                            
                                                        ![Anti-Vimentin antibody [HL1506] used in Western Blot (WB). GTX636980](/upload/website/prouct_img/middle/GTX636980/GTX636980_44725_20220701_WB_M_R_22070501_818.webp) 
                                                            
                                                        ![Anti-Vimentin antibody [HL1506] used in IHC (Paraffin sections) (IHC-P). GTX636980](/upload/website/prouct_img/middle/GTX636980/GTX636980_T-44676_20220701_IHC-P_22070501_793.webp)