Von Hippel Lindau抗体

目录号 GTX101087
目录号  GTX101087
Anti-Von Hippel Lindau antibody used in Western Blot (WB). GTX101087
GTX101087 WB Image

Various whole cell extracts (30 μg) were separated by 12% SDS-PAGE, and the membrane was blotted with Von Hippel Lindau antibody (GTX101087) diluted at 1:500. The HRP-conjugated anti-rabbit IgG antibody (GTX213110-01) was used to detect the primary antibody.

1 / 6
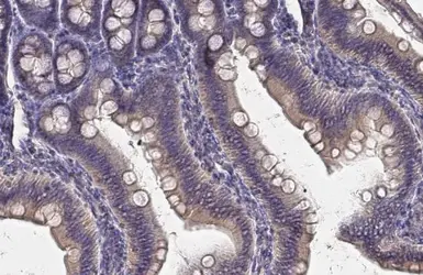
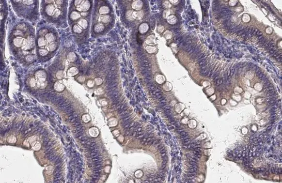
Anti-Von Hippel Lindau antibody used in IHC (Paraffin sections) (IHC-P). GTX101087
GTX101087 IHC-P Image

Von Hippel Lindau antibody detects Von Hippel Lindau protein at cytoplasm by immunohistochemical analysis.
Sample: Paraffin-embedded rat intestine.
Von Hippel Lindau stained by Von Hippel Lindau antibody (GTX101087) diluted at 1:500.
Antigen Retrieval: Citrate buffer, pH 6.0, 15 min

2 / 6
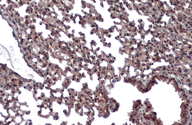
Anti-Von Hippel Lindau antibody used in IHC (Paraffin sections) (IHC-P). GTX101087
GTX101087 IHC-P Image

Von Hippel Lindau antibody detects Von Hippel Lindau protein at nucleus by immunohistochemical analysis.
Sample: Paraffin-embedded mouse lung.
Von Hippel Lindau stained by Von Hippel Lindau antibody (GTX101087) diluted at 1:500.
Antigen Retrieval: Citrate buffer, pH 6.0, 15 min

3 / 6
Anti-Von Hippel Lindau antibody used in Western Blot (WB). GTX101087
GTX101087 WB Image

Non-transfected (–) and transfected (+) 293T whole cell extracts (30 μg) were separated by 12% SDS-PAGE, and the membrane was blotted with Von Hippel Lindau antibody (GTX101087) diluted at 1:5000. The HRP-conjugated anti-rabbit IgG antibody (GTX213110-01) was used to detect the primary antibody.

4 / 6
Anti-Von Hippel Lindau antibody used in Immunocytochemistry/ Immunofluorescence (ICC/IF). GTX101087
GTX101087 ICC/IF Image

Von Hippel Lindau antibody detects Von Hippel Lindau protein at cytoplasm and nucleus by immunofluorescent analysis.
Sample: HeLa cells were fixed in 4% paraformaldehyde at RT for 15 min.
Green: Von Hippel Lindau stained by Von Hippel Lindau antibody (GTX101087) diluted at 1:500.
Red: alpha Tubulin, a cytoskeleton marker, stained by alpha Tubulin antibody [GT114] (GTX628802) diluted at 1:1000.
Blue: Fluoroshield with DAPI (GTX30920).
Scale bar= 10μm.

5 / 6
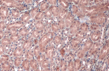
Anti-Von Hippel Lindau antibody used in IHC (Paraffin sections) (IHC-P). GTX101087
GTX101087 IHC-P Image

Von Hippel Lindau antibody detects Von Hippel Lindau protein at cytoplasm by immunohistochemical analysis.
Sample: Paraffin-embedded mouse kidney.
Von Hippel Lindau stained by Von Hippel Lindau antibody (GTX101087) diluted at 1:500.
Antigen Retrieval: Citrate buffer, pH 6.0, 15 min

6 / 6
Anti-Von Hippel Lindau antibody used in Western Blot (WB). GTX101087
Anti-Von Hippel Lindau antibody used in IHC (Paraffin sections) (IHC-P). GTX101087
Anti-Von Hippel Lindau antibody used in IHC (Paraffin sections) (IHC-P). GTX101087
Anti-Von Hippel Lindau antibody used in Western Blot (WB). GTX101087
Anti-Von Hippel Lindau antibody used in Immunocytochemistry/ Immunofluorescence (ICC/IF). GTX101087
Anti-Von Hippel Lindau antibody used in IHC (Paraffin sections) (IHC-P). GTX101087
  • 宿主
    Rabbit
  • 克隆
    Polyclonal
  • 同种型
    IgG
  • 实验应用
    WB ICC/IF IHC-P IP
  • 种属反应
    Human, Mouse, Rat
查看所有 Von Hippel Lindau 的产品