![Anti-alpha Actinin 2 antibody [N1N3] used in Immunocytochemistry/ Immunofluorescence (ICC/IF). GTX103219](/upload/website/prouct_img/middle/GTX103219/GTX103219_44286_20220121_ICC_IF_w_23060119_632.webp) 
                                                        
                                                    alpha Actinin 2 antibody [N1N3] detects alpha Actinin 2 protein at cytoskeleton by immunofluorescent analysis.Sample: HeLa cells were fixed in ice-cold MeOH for 5 min.Green: alpha Actinin 2 stained by alpha Actinin 2 antibody [N1N3] (GTX103219) diluted at 1:500.Blue: Fluoroshield with DAPI (GTX30920).
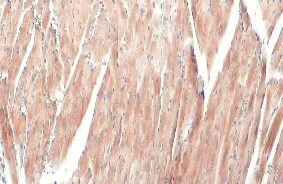
![Anti-alpha Actinin 2 antibody [N1N3] used in IHC (Paraffin sections) (IHC-P). GTX103219](/upload/website/prouct_img/middle/GTX103219/GTX103219_44286_20210813_IHC-P_M_w_23060119_741.webp) 
                                                            
                                                        
                                                    alpha Actinin 2 antibody [N1N3] detects alpha Actinin 2 protein at cytoplasm by immunohistochemical analysis.Sample: Paraffin-embedded mouse heart.alpha Actinin 2 stained by alpha Actinin 2 antibody [N1N3] (GTX103219) diluted at 1:500.Antigen Retrieval: Citrate buffer, pH 6.0, 15 min
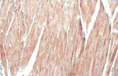
![Anti-alpha Actinin 2 antibody [N1N3] used in IHC (Paraffin sections) (IHC-P). GTX103219](/upload/website/prouct_img/middle/GTX103219/GTX103219_42655_20170426_IHC-P_R_w_23060119_832.webp) 
                                                            
                                                        
                                                    
                                                                    alpha Actinin 2 antibody [N1N3] detects alpha Actinin 2 protein at cytoplasm in rat muscle by immunohistochemical analysis. 
Sample: Paraffin-embedded rat muscle. 
alpha Actinin 2 antibody [N1N3] (GTX103219) diluted at 1:500.
Antigen Retrieval: Citrate buffer, pH 6.0, 15 min
                                                                
![Anti-alpha Actinin 2 antibody [N1N3] used in Immunocytochemistry/ Immunofluorescence (ICC/IF). GTX103219](/upload/website/prouct_img/middle/GTX103219/GTX103219_42655_20190703_ICC_IF_w_23060119_414.webp) 
                                                            
                                                        
                                                    alpha Actinin 2 antibody [N1N3] detects alpha Actinin 2 protein at cytoskeleton by immunofluorescent analysis.Sample: HeLa cells were fixed in ice-cold MeOH for 5 min.Green: alpha Actinin 2 stained by alpha Actinin 2 antibody [N1N3] (GTX103219) diluted at 1:500.Blue: Hoechst 33342 staining.
![Anti-alpha Actinin 2 antibody [N1N3] used in IHC (Paraffin sections) (IHC-P). GTX103219](/upload/website/prouct_img/middle/GTX103219/GTX103219_44286_20210813_IHC-P_M_1_w_23060119_728.webp) 
                                                            
                                                        
                                                    alpha Actinin 2 antibody [N1N3] detects alpha Actinin 2 protein at cytoplasm by immunohistochemical analysis.Sample: Paraffin-embedded mouse muscle.alpha Actinin 2 stained by alpha Actinin 2 antibody [N1N3] (GTX103219) diluted at 1:500.Antigen Retrieval: Citrate buffer, pH 6.0, 15 min
![Anti-alpha Actinin 2 antibody [N1N3] used in IHC (Paraffin sections) (IHC-P). GTX103219](/upload/website/prouct_img/middle/GTX103219/GTX103219_42656_20181025_IHC-P_M_w_23060119_306.webp) 
                                                            
                                                        
                                                    alpha Actinin 2 antibody [N1N3] detects alpha Actinin 2 protein at cytoplasm by immunohistochemical analysis.Sample: Paraffin-embedded mouse heart.alpha Actinin 2 stained by alpha Actinin 2 antibody [N1N3] (GTX103219) diluted at 1:2000.Antigen Retrieval: Citrate buffer, pH 6.0, 15 min
![Anti-alpha Actinin 2 antibody [N1N3] used in IHC (Paraffin sections) (IHC-P). GTX103219](/upload/website/prouct_img/middle/GTX103219/GTX103219_42656_20181025_IHC-P_R_w_23060119_526.webp) 
                                                            
                                                        
                                                    alpha Actinin 2 antibody [N1N3] detects alpha Actinin 2 protein at cytoplasm by immunohistochemical analysis.Sample: Paraffin-embedded rat heart.alpha Actinin 2 stained by alpha Actinin 2 antibody [N1N3] (GTX103219) diluted at 1:2000.Antigen Retrieval: Citrate buffer, pH 6.0, 15 min
![Anti-alpha Actinin 2 antibody [N1N3] used in Immunocytochemistry/ Immunofluorescence (ICC/IF). GTX103219](/upload/website/prouct_img/middle/GTX103219/GTX103219_44567_20220325_ICC_IF_w_23060119_241.webp) 
                                                            
                                                        
                                                    alpha Actinin 2 antibody [N1N3] detects alpha Actinin 2 protein at cytoskeleton by immunofluorescent analysis.Sample: HeLa cells were fixed in ice-cold MeOH for 5 min.Green: alpha Actinin 2 stained by alpha Actinin 2 antibody [N1N3] (GTX103219) diluted at 1:500.Blue: Fluoroshield with DAPI (GTX30920).
![Anti-alpha Actinin 2 antibody [N1N3] used in IHC (Paraffin sections) (IHC-P). GTX103219](/upload/website/prouct_img/middle/GTX103219/GTX103219_44524_20220114_IHC-P_M_23041723_798.webp) 
                                                            
                                                        
                                                    alpha Actinin 2 antibody [N1N3] detects alpha Actinin 2 protein at cytoplasm by immunohistochemical analysis.Sample: Paraffin-embedded mouse heart.alpha Actinin 2 stained by alpha Actinin 2 antibody [N1N3] (GTX103219) diluted at 1:500.Antigen Retrieval: Citrate buffer, pH 6.0, 15 min
![Anti-alpha Actinin 2 antibody [N1N3] used in IHC (Paraffin sections) (IHC-P). GTX103219](/upload/website/prouct_img/middle/GTX103219/GTX103219_44524_20220114_IHC-P_M_1_23041723_970.webp) 
                                                            
                                                        
                                                    alpha Actinin 2 antibody [N1N3] detects alpha Actinin 2 protein at cytoplasm by immunohistochemical analysis.Sample: Paraffin-embedded mouse muscle.alpha Actinin 2 stained by alpha Actinin 2 antibody [N1N3] (GTX103219) diluted at 1:500.Antigen Retrieval: Citrate buffer, pH 6.0, 15 min
![Anti-alpha Actinin 2 antibody [N1N3] used in IHC (Paraffin sections) (IHC-P). GTX103219](/upload/website/prouct_img/middle/GTX103219/GTX103219_44566_20220729_IHC-P_M_22080119_662.webp) 
                                                            
                                                        
                                                    alpha Actinin 2 antibody [N1N3] detects alpha Actinin 2 protein at cytoplasm by immunohistochemical analysis.Sample: Paraffin-embedded mouse muscle.alpha Actinin 2 stained by alpha Actinin 2 antibody [N1N3] (GTX103219) diluted at 1:500.Antigen Retrieval: Citrate buffer, pH 6.0, 15 min
![Anti-alpha Actinin 2 antibody [N1N3] used in IHC (Paraffin sections) (IHC-P). GTX103219](/upload/website/prouct_img/middle/GTX103219/GTX103219_44567_20220729_IHC-P_R_22080119_592.webp) 
                                                            
                                                        
                                                    alpha Actinin 2 antibody [N1N3] detects alpha Actinin 2 protein at cytoplasm by immunohistochemical analysis.Sample: Paraffin-embedded rat heart.alpha Actinin 2 stained by alpha Actinin 2 antibody [N1N3] (GTX103219) diluted at 1:500.Antigen Retrieval: Citrate buffer, pH 6.0, 15 min
![Anti-alpha Actinin 2 antibody [N1N3] used in IHC (Paraffin sections) (IHC-P). GTX103219](/upload/website/prouct_img/middle/GTX103219/GTX103219_44566_20220729_IHC-P_M_1_22080119_266.webp) 
                                                            
                                                        
                                                    alpha Actinin 2 antibody [N1N3] detects alpha Actinin 2 protein at cytoplasm by immunohistochemical analysis.Sample: Paraffin-embedded mouse heart.alpha Actinin 2 stained by alpha Actinin 2 antibody [N1N3] (GTX103219) diluted at 1:500.Antigen Retrieval: Citrate buffer, pH 6.0, 15 min
![Anti-alpha Actinin 2 antibody [N1N3] used in Western Blot (WB). GTX103219](/upload/website/prouct_img/middle/GTX103219/GTX103219_20240411_citeab_WB_1379_24041501_272.webp) 
                                                            
                                                        
                                                    The data was published in the journal PeerJ in 2018.PMID: 30065891
![Anti-alpha Actinin 2 antibody [N1N3] used in Immunocytochemistry/ Immunofluorescence (ICC/IF). GTX103219](/upload/website/prouct_img/middle/GTX103219/GTX103219_44286_20220121_ICC_IF_w_23060119_632.webp) 
                                            ![Anti-alpha Actinin 2 antibody [N1N3] used in IHC (Paraffin sections) (IHC-P). GTX103219](/upload/website/prouct_img/middle/GTX103219/GTX103219_44286_20210813_IHC-P_M_w_23060119_741.webp) 
                                            ![Anti-alpha Actinin 2 antibody [N1N3] used in IHC (Paraffin sections) (IHC-P). GTX103219](/upload/website/prouct_img/middle/GTX103219/GTX103219_42655_20170426_IHC-P_R_w_23060119_832.webp) 
                                            ![Anti-alpha Actinin 2 antibody [N1N3] used in Immunocytochemistry/ Immunofluorescence (ICC/IF). GTX103219](/upload/website/prouct_img/middle/GTX103219/GTX103219_42655_20190703_ICC_IF_w_23060119_414.webp) 
                                            ![Anti-alpha Actinin 2 antibody [N1N3] used in IHC (Paraffin sections) (IHC-P). GTX103219](/upload/website/prouct_img/middle/GTX103219/GTX103219_44286_20210813_IHC-P_M_1_w_23060119_728.webp) 
                                            ![Anti-alpha Actinin 2 antibody [N1N3] used in IHC (Paraffin sections) (IHC-P). GTX103219](/upload/website/prouct_img/middle/GTX103219/GTX103219_42656_20181025_IHC-P_M_w_23060119_306.webp) 
                                            ![Anti-alpha Actinin 2 antibody [N1N3] used in IHC (Paraffin sections) (IHC-P). GTX103219](/upload/website/prouct_img/middle/GTX103219/GTX103219_42656_20181025_IHC-P_R_w_23060119_526.webp) 
                                            ![Anti-alpha Actinin 2 antibody [N1N3] used in Immunocytochemistry/ Immunofluorescence (ICC/IF). GTX103219](/upload/website/prouct_img/middle/GTX103219/GTX103219_44567_20220325_ICC_IF_w_23060119_241.webp) 
                                            ![Anti-alpha Actinin 2 antibody [N1N3] used in Western Blot (WB). GTX103219](/upload/website/prouct_img/middle/GTX103219/GTX103219_44524_20211217_WB_23050223_219.webp) 
                                            ![Anti-alpha Actinin 2 antibody [N1N3] used in IHC (Paraffin sections) (IHC-P). GTX103219](/upload/website/prouct_img/middle/GTX103219/GTX103219_44524_20220114_IHC-P_M_23041723_798.webp) 
                                            ![Anti-alpha Actinin 2 antibody [N1N3] used in IHC (Paraffin sections) (IHC-P). GTX103219](/upload/website/prouct_img/middle/GTX103219/GTX103219_44524_20220114_IHC-P_M_1_23041723_970.webp) 
                                                    
                                            ![Anti-alpha Actinin 2 antibody [N1N3] used in Western Blot (WB). GTX103219](/upload/website/prouct_img/middle/GTX103219/GTX103219_44524_20211217_WB_M_heart_23041723_474.webp) 
                                                    
                                            ![Anti-alpha Actinin 2 antibody [N1N3] used in Western Blot (WB). GTX103219](/upload/website/prouct_img/middle/GTX103219/GTX103219_44335_20210917_WB_Z_22111423_383.webp) 
                                                    
                                            ![Anti-alpha Actinin 2 antibody [N1N3] used in IHC (Paraffin sections) (IHC-P). GTX103219](/upload/website/prouct_img/middle/GTX103219/GTX103219_44566_20220729_IHC-P_M_22080119_662.webp) 
                                                    
                                            ![Anti-alpha Actinin 2 antibody [N1N3] used in IHC (Paraffin sections) (IHC-P). GTX103219](/upload/website/prouct_img/middle/GTX103219/GTX103219_44567_20220729_IHC-P_R_22080119_592.webp) 
                                                    
                                            ![Anti-alpha Actinin 2 antibody [N1N3] used in IHC (Paraffin sections) (IHC-P). GTX103219](/upload/website/prouct_img/middle/GTX103219/GTX103219_44566_20220729_IHC-P_M_1_22080119_266.webp) 
                                                    
                                            ![Anti-alpha Actinin 2 antibody [N1N3] used in Western Blot (WB). GTX103219](/upload/website/prouct_img/middle/GTX103219/GTX103219_44335_20210709_WB_R_heart_22072519_163.webp) 
                                                    
                                            ![Anti-alpha Actinin 2 antibody [N1N3] used in Western Blot (WB). GTX103219](/upload/website/prouct_img/middle/GTX103219/GTX103219_44335_20210702_WB_M_22072519_433.webp) 
                                                    
                                            ![Anti-alpha Actinin 2 antibody [N1N3] used in Western Blot (WB). GTX103219](/upload/website/prouct_img/middle/GTX103219/GTX103219_20240411_citeab_WB_1379_24041501_272.webp) 
                                                    
                                            - 
                                            宿主Rabbit
- 
                                            克隆Polyclonal
- 
                                                同种型IgG
- 
                                            实验应用WB ICC/IF IHC-P IHC
- 
                                            种属反应Human, Mouse, Rat, Zebrafish, Pig