alpha Smooth Muscle Actin抗体

目录号 GTX100034
目录号  GTX100034
Anti-alpha Smooth Muscle Actin antibody used in Western Blot (WB). GTX100034
GTX100034 WB Image

Non-transfected (–) and transfected (+) HeLa whole cell extracts (30 μg) were separated by 10% SDS-PAGE, and the membrane was blotted with alpha Smooth Muscle Actin antibody (GTX100034) diluted at 1:500. The HRP-conjugated anti-rabbit IgG antibody (GTX213110-01) was used to detect the primary antibody.

1 / 25
Anti-alpha Smooth Muscle Actin antibody used in Western Blot (WB). GTX100034
GTX100034 WB Image

Various whole cell extracts (30 μg) were separated by 10% SDS-PAGE, and the membrane was blotted with alpha Smooth Muscle Actin antibody (GTX100034) diluted at 1:500. The HRP-conjugated anti-rabbit IgG antibody (GTX213110-01) was used to detect the primary antibody. Corresponding RNA expression data for the same cell lines are based on Human Protein Atlas program.

2 / 25
Anti-alpha Smooth Muscle Actin antibody used in Western Blot (WB). GTX100034
GTX100034 WB Image

Various tissue extracts (50 μg) were separated by 10% SDS-PAGE, and the membrane was blotted with alpha Smooth Muscle Actin antibody (GTX100034) diluted at 1:10000. The HRP-conjugated anti-rabbit IgG antibody (GTX213110-01) was used to detect the primary antibody.

3 / 25
Anti-alpha Smooth Muscle Actin antibody used in Western Blot (WB). GTX100034
GTX100034 WB Image

Various whole cell extracts (30 μg) were separated by 10% SDS-PAGE, and the membrane was blotted with alpha Smooth Muscle Actin antibody (GTX100034) diluted at 1:500. The HRP-conjugated anti-rabbit IgG antibody (GTX213110-01) was used to detect the primary antibody. Corresponding RNA expression data for the same cell lines are based on Human Protein Atlas program.

4 / 25
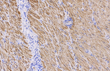
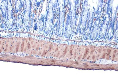
Anti-alpha Smooth Muscle Actin antibody used in IHC (Paraffin sections) (IHC-P). GTX100034
GTX100034 IHC-P Image

alpha Smooth Muscle Actin antibody detects alpha Smooth Muscle Actin protein at cytoplasm by immunohistochemical analysis.
Sample: Paraffin-embedded mouse smooth muscle.
alpha Smooth Muscle Actin stained by alpha Smooth Muscle Actin antibody (GTX100034) diluted at 1:500.
Antigen Retrieval: Citrate buffer, pH 6.0, 15 min

5 / 25
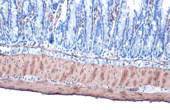
Anti-alpha Smooth Muscle Actin antibody used in IHC (Paraffin sections) (IHC-P). GTX100034
GTX100034 IHC-P Image

alpha Smooth Muscle Actin antibody detects alpha Smooth Muscle Actin protein at cytoplasm by immunohistochemical analysis.
Sample: Paraffin-embedded mouse duodenum.
alpha Smooth Muscle Actin stained by alpha Smooth Muscle Actin antibody (GTX100034) diluted at 1:2000.
Antigen Retrieval: Citrate buffer, pH 6.0, 15 min

6 / 25
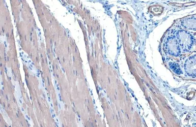
Anti-alpha Smooth Muscle Actin antibody used in IHC (Paraffin sections) (IHC-P). GTX100034
GTX100034 IHC-P Image

alpha Smooth Muscle Actin antibody detects alpha Smooth Muscle Actin protein at cytoplasm by immunohistochemical analysis.
Sample: Paraffin-embedded mouse colon.
alpha Smooth Muscle Actin stained by alpha Smooth Muscle Actin antibody (GTX100034) diluted at 1:500.
Antigen Retrieval: Citrate buffer, pH 6.0, 15 min

7 / 25
Anti-alpha Smooth Muscle Actin antibody used in IHC (Paraffin sections) (IHC-P). GTX100034
GTX100034 IHC-P Image

alpha Smooth Muscle Actin antibody detects alpha Smooth Muscle Actin protein at cytoplasm by immunohistochemical analysis.
Sample: Paraffin-embedded mouse duodenum.
alpha Smooth Muscle Actin stained by alpha Smooth Muscle Actin antibody (GTX100034) diluted at 1:500.
Antigen Retrieval: Citrate buffer, pH 6.0, 15 min

8 / 25
Anti-alpha Smooth Muscle Actin antibody used in IHC (Paraffin sections) (IHC-P). GTX100034
GTX100034 IHC-P Image

alpha Smooth Muscle Actin antibody detects alpha Smooth Muscle Actin protein at cytoplasm by immunohistochemical analysis.
Sample: Paraffin-embedded rat stomach.
Green: alpha Smooth Muscle Actin stained by alpha Smooth Muscle Actin antibody (GTX100034) diluted at 1:1000.
Red: alpha Tubulin, a cytoskeleton marker, stained by alpha Tubulin antibody [GT114] (GTX628802) diluted at 1:1000.
Blue: Fluoroshield with DAPI (GTX30920).
Antigen Retrieval: Citrate buffer, pH 6.0, 15 min

9 / 25
Anti-alpha Smooth Muscle Actin antibody used in IHC (Paraffin sections) (IHC-P). GTX100034
GTX100034 IHC-P Image

alpha Smooth Muscle Actin antibody detects alpha Smooth Muscle Actin protein at cytoplasm by immunohistochemical analysis.
Sample: Paraffin-embedded rat stomach.
alpha Smooth Muscle Actin stained by alpha Smooth Muscle Actin antibody (GTX100034) diluted at 1:2000.
Antigen Retrieval: Citrate buffer, pH 6.0, 15 min

10 / 25
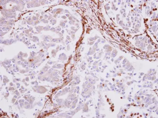
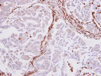
Anti-alpha Smooth Muscle Actin antibody used in IHC (Paraffin sections) (IHC-P). GTX100034
GTX100034 IHC-P Image

alpha smooth muscle Actin antibody detects alpha smooth muscle Actin protein at cytoplasm on human liver carcinoma stroma by immunohistochemical analysis.
Sample: Paraffin-embedded liver carcinoma stroma.
alpha smooth muscle Actin antibody (GTX100034) diluted at 1:500.
Antigen Retrieval: Trilogy™ (EDTA based, pH 8.0) buffer, 15min

11 / 25
Anti-alpha Smooth Muscle Actin antibody used in Western Blot (WB). GTX100034
GTX100034 WB Image

alpha smooth muscle Actin antibody detects ACTA2 protein by western blot analysis.
A. 30 μg Rat2 whole cell lysate/extract
10% SDS-PAGE
alpha smooth muscle Actin antibody (GTX100034) dilution: 1:1000
The HRP-conjugated anti-rabbit IgG antibody (GTX213110-01) was used to detect the primary antibody.

12 / 25
Anti-alpha Smooth Muscle Actin antibody used in Western Blot (WB). GTX100034
GTX100034 WB Image

alpha smooth muscle Actin antibody detects alpha smooth muscle Actin protein by western blot analysis. Various whole cell extracts (30 μg) were separated by 10% SDS-PAGE, and the membrane was blotted with alpha smooth muscle Actin antibody (GTX100034) diluted at a dilution of 1:1000. The HRP-conjugated anti-rabbit IgG antibody (GTX213110-01) was used to detect the primary antibody.

13 / 25
Anti-alpha Smooth Muscle Actin antibody used in IHC (Paraffin sections) (IHC-P). GTX100034
GTX100034 IHC-P Image

alpha Smooth Muscle Actin antibody detects alpha Smooth Muscle Actin protein at cytoplasm by immunohistochemical analysis.
Sample: Paraffin-embedded mouse prostate.
Green: alpha Smooth Muscle Actin stained by alpha Smooth Muscle Actin antibody (GTX100034) diluted at 1:1000.
Red: alpha Tubulin, a cytoskeleton marker, stained by alpha Tubulin antibody [GT114] (GTX628802) diluted at 1:1000.
Blue: Fluoroshield with DAPI (GTX30920).
Antigen Retrieval: Citrate buffer, pH 6.0, 15 min

14 / 25
Anti-alpha Smooth Muscle Actin antibody used in IHC (Paraffin sections) (IHC-P). GTX100034
GTX100034 IHC-P Image

alpha Smooth Muscle Actin antibody detects alpha Smooth Muscle Actin protein at cytoplasm by immunohistochemical analysis.
Sample: Paraffin-embedded rat cervix.
alpha Smooth Muscle Actin stained by alpha Smooth Muscle Actin antibody (GTX100034) diluted at 1:2000.
Antigen Retrieval: Citrate buffer, pH 6.0, 15 min

15 / 25
Anti-alpha Smooth Muscle Actin antibody used in IHC (Paraffin sections) (IHC-P). GTX100034
GTX100034 IHC-P Image

alpha Smooth Muscle Actin antibody detects alpha Smooth Muscle Actin protein at cytoplasm by immunohistochemical analysis (Autostainer Formulated).
Sample: Paraffin-embedded human normal colon tissue.
alpha Smooth Muscle Actin stained by alpha Smooth Muscle Actin antibody (GTX100034) diluted at 1:500.
Antigen Retrieval: Citrate buffer, 20 min

16 / 25
Anti-alpha Smooth Muscle Actin antibody used in IHC (Paraffin sections) (IHC-P). GTX100034
GTX100034 IHC-P Image

alpha Smooth Muscle Actin antibody detects alpha Smooth Muscle Actin protein at cytoplasm by immunohistochemical analysis.
Sample: Paraffin-embedded rat cervix.
Green: alpha Smooth Muscle Actin stained by alpha Smooth Muscle Actin antibody (GTX100034) diluted at 1:1000.
Red: alpha Tubulin, a cytoskeleton marker, stained by alpha Tubulin antibody [GT114] (GTX628802) diluted at 1:1000.
Blue: Fluoroshield with DAPI (GTX30920).
Antigen Retrieval: Citrate buffer, pH 6.0, 15 min

17 / 25
Anti-alpha Smooth Muscle Actin antibody used in IHC (Paraffin sections) (IHC-P). GTX100034
GTX100034 IHC-P Image

alpha Smooth Muscle Actin antibody detects alpha Smooth Muscle Actin protein at cytoplasm by immunohistochemical analysis.
Sample: Paraffin-embedded mouse cervix.
Green: alpha Smooth Muscle Actin stained by alpha Smooth Muscle Actin antibody (GTX100034) diluted at 1:1000.
Red: alpha Tubulin, a cytoskeleton marker, stained by alpha Tubulin antibody [GT114] (GTX628802) diluted at 1:1000.
Blue: Fluoroshield with DAPI (GTX30920).
Antigen Retrieval: Citrate buffer, pH 6.0, 15 min

18 / 25
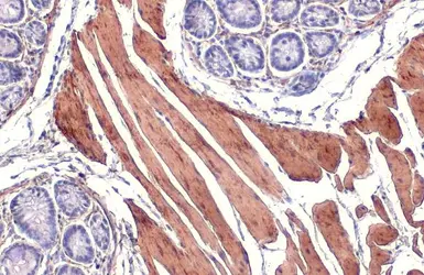
Anti-alpha Smooth Muscle Actin antibody used in IHC (Paraffin sections) (IHC-P). GTX100034
GTX100034 IHC-P Image

alpha Smooth Muscle Actin antibody detects alpha Smooth Muscle Actin protein at cytoplasm by immunohistochemical analysis.
Sample: Paraffin-embedded mouse smooth muscle.
alpha Smooth Muscle Actin stained by alpha Smooth Muscle Actin antibody (GTX100034) diluted at 1:500.
Antigen Retrieval: Citrate buffer, pH 6.0, 15 min

19 / 25
Anti-alpha Smooth Muscle Actin antibody used in IHC (Paraffin sections) (IHC-P). GTX100034
GTX100034 IHC-P Image

alpha Smooth Muscle Actin antibody detects alpha Smooth Muscle Actin protein at cytoplasm by immunohistochemical analysis.
Sample: Paraffin-embedded mouse smooth muscle.
alpha Smooth Muscle Actin stained by alpha Smooth Muscle Actin antibody (GTX100034) diluted at 1:500.
Antigen Retrieval: Citrate buffer, pH 6.0, 15 min

20 / 25
Anti-alpha Smooth Muscle Actin antibody used in Western Blot (WB). GTX100034
GTX100034 WB Image

Various tissue extracts (50 μg) were separated by 10% SDS-PAGE, and the membrane was blotted with alpha Smooth Muscle Actin antibody (GTX100034) diluted at 1:5000. The HRP-conjugated anti-rabbit IgG antibody (GTX213110-01) was used to detect the primary antibody.

21 / 25
Anti-alpha Smooth Muscle Actin antibody used in Western Blot (WB). GTX100034
GTX100034 WB Image

The data was published in the journal Biomolecules in 2019. PMID: 31443530

22 / 25
Anti-alpha Smooth Muscle Actin antibody used in Western Blot (WB). GTX100034
GTX100034 WB Image

The data was published in the 2022 in J Biomed Sci. PMID: 35765067

23 / 25
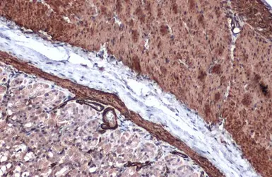
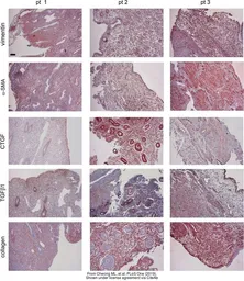
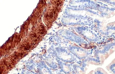
Anti-alpha Smooth Muscle Actin antibody used in IHC (Paraffin sections) (IHC-P). GTX100034
GTX100034 IHC-P Image

The data was published in the journal PLoS One in 2019. PMID: 30695033

24 / 25
Anti-alpha Smooth Muscle Actin antibody used in Western Blot (WB). GTX100034
GTX100034 WB Image

The data was published in the journal Front Pharmacol in 2016. PMID: 27199755

25 / 25
Anti-alpha Smooth Muscle Actin antibody used in Western Blot (WB). GTX100034
Anti-alpha Smooth Muscle Actin antibody used in Western Blot (WB). GTX100034
Anti-alpha Smooth Muscle Actin antibody used in Western Blot (WB). GTX100034
Anti-alpha Smooth Muscle Actin antibody used in Western Blot (WB). GTX100034
Anti-alpha Smooth Muscle Actin antibody used in IHC (Paraffin sections) (IHC-P). GTX100034
Anti-alpha Smooth Muscle Actin antibody used in IHC (Paraffin sections) (IHC-P). GTX100034
Anti-alpha Smooth Muscle Actin antibody used in IHC (Paraffin sections) (IHC-P). GTX100034
Anti-alpha Smooth Muscle Actin antibody used in IHC (Paraffin sections) (IHC-P). GTX100034
Anti-alpha Smooth Muscle Actin antibody used in IHC (Paraffin sections) (IHC-P). GTX100034
Anti-alpha Smooth Muscle Actin antibody used in IHC (Paraffin sections) (IHC-P). GTX100034
Anti-alpha Smooth Muscle Actin antibody used in IHC (Paraffin sections) (IHC-P). GTX100034
Anti-alpha Smooth Muscle Actin antibody used in Western Blot (WB). GTX100034
Anti-alpha Smooth Muscle Actin antibody used in Western Blot (WB). GTX100034
Anti-alpha Smooth Muscle Actin antibody used in IHC (Paraffin sections) (IHC-P). GTX100034
Anti-alpha Smooth Muscle Actin antibody used in IHC (Paraffin sections) (IHC-P). GTX100034
Anti-alpha Smooth Muscle Actin antibody used in IHC (Paraffin sections) (IHC-P). GTX100034
Anti-alpha Smooth Muscle Actin antibody used in IHC (Paraffin sections) (IHC-P). GTX100034
Anti-alpha Smooth Muscle Actin antibody used in IHC (Paraffin sections) (IHC-P). GTX100034
Anti-alpha Smooth Muscle Actin antibody used in IHC (Paraffin sections) (IHC-P). GTX100034
Anti-alpha Smooth Muscle Actin antibody used in IHC (Paraffin sections) (IHC-P). GTX100034
Anti-alpha Smooth Muscle Actin antibody used in Western Blot (WB). GTX100034
Anti-alpha Smooth Muscle Actin antibody used in Western Blot (WB). GTX100034
Anti-alpha Smooth Muscle Actin antibody used in Western Blot (WB). GTX100034
Anti-alpha Smooth Muscle Actin antibody used in IHC (Paraffin sections) (IHC-P). GTX100034
Anti-alpha Smooth Muscle Actin antibody used in Western Blot (WB). GTX100034
  • 宿主
    Rabbit
  • 克隆
    Polyclonal
  • 同种型
    IgG
  • 实验应用
    WB ICC/IF IHC-P IHC-Fr
  • 种属反应
    Human, Mouse, Rat, Zebrafish
查看所有 alpha Smooth Muscle Actin 的产品