![Anti-alpha Tubulin antibody [GT114] used in Immunocytochemistry/ Immunofluorescence (ICC/IF). GTX628802](/upload/website/prouct_img/middle/GTX628802/GTX628802_45175_20231117_ICC_IF_23121122_891.webp) 
                                                            
                                                        
                                                    alpha Tubulin antibody [GT114] detects alpha Tubulin protein at cytoskeleton by immunofluorescent analysis.Sample: HeLa cells were fixed in 4% paraformaldehyde at RT for 15 min.Green: alpha Tubulin stained by alpha Tubulin antibody [GT114] (GTX628802) diluted at 1:1000.Blue: Fluoroshield with DAPI (GTX30920).
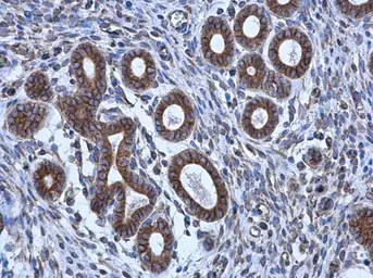
![Anti-alpha Tubulin antibody [GT114] used in IHC (Paraffin sections) (IHC-P). GTX628802](/upload/website/prouct_img/middle/GTX628802/GTX628802_42030_20150518_IHC_2_w_23061202_447.webp) 
                                                            
                                                        
                                                    
                                                                    alpha Tubulin antibody [GT114] detects alpha Tubulin protein at cytoplasm in human cervix by immunohistochemical analysis. 
Sample: Paraffin-embedded human cervix. 
alpha Tubulin antibody [GT114] (GTX628802) diluted at 1:500.
Antigen Retrieval: Citrate buffer, pH 6.0, 15 min
                                                                
![Anti-alpha Tubulin antibody [GT114] used in Western Blot (WB). GTX628802](/upload/website/prouct_img/middle/GTX628802/GTX628802_41204_WB_Z_eye_w_23061202_891.webp) 
                                                            
                                                        
                                                    
                                                                    alpha Tubulin antibody [GT114] detects TUBA1B protein by western blot analysis.
A. 30 μg zebrafish eye lysate/extract
10% SDS-PAGE
alpha Tubulin antibody [GT114] (GTX628802) dilution: 1:1000 
The HRP-conjugated anti-mouse IgG antibody (GTX213111-01) was used to detect the primary antibody.
                                                                
![Anti-alpha Tubulin antibody [GT114] used in Western Blot (WB). GTX628802](/upload/website/prouct_img/middle/GTX628802/GTX628802_41204_WB_multi species_w_23061202_138.webp) 
                                                            
                                                        
                                                    
                                                                    alpha Tubulin antibody [GT114] detects TUBA1B protein by western blot analysis.
A. 30 μg 293T whole cell lysate/extract 
B. 30 μg NIH-3T3 whole cell lysate/extract 
C. 30 μg mouse brain lysate/extract 
D. 30 μg PC-12 whole cell lysate/extract 
E. 30 μg rat brain lysate/extract 
F. 30 μg drosophila lysae/extract
10% SDS-PAGE
alpha Tubulin antibody [GT114] (GTX628802) dilution: 1:5000 
The HRP-conjugated anti-mouse IgG antibody (GTX213111-01) was used to detect the primary antibody.
                                                                
![Anti-alpha Tubulin antibody [GT114] used in Immunocytochemistry/ Immunofluorescence (ICC/IF). GTX628802](/upload/website/prouct_img/middle/GTX628802/GTX628802_42030_20161004_IFA_w_23061202_993.webp) 
                                                            
                                                        
                                                    
                                                                    alpha Tubulin antibody [GT114] detects alpha Tubulin protein expression by immunofluorescent analysis.
Sample: Cultured rat E18 primary cortical neuron, DIV 8. Cells were fixed in 4% paraformaldehyde at RT for 15 min.
Green: alpha Tubulin protein stained by alpha Tubulin antibody [GT114] (GTX628802) diluted at 1:250.
Red: NeuN, stained by NeuN antibody (GTX132974) diluted at 1:250.
Blue: Fluoroshield with DAPI (GTX30920).
                                                                
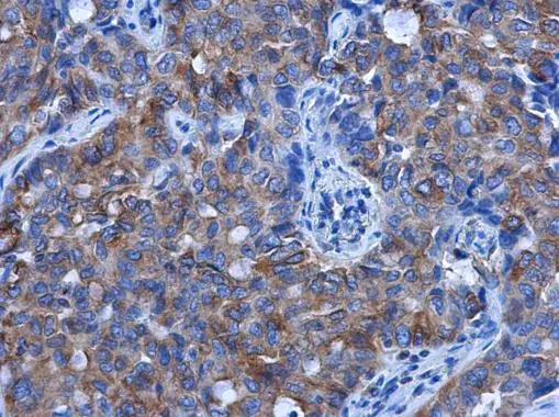
![Anti-alpha Tubulin antibody [GT114] used in IHC (Paraffin sections) (IHC-P). GTX628802](/upload/website/prouct_img/middle/GTX628802/GTX628802_42030_20150518_IHC_w_23061202_801.webp) 
                                                            
                                                        
                                                    
                                                                    alpha Tubulin antibody [GT114] detects alpha Tubulin protein at cytoplasm in human lung cancer by immunohistochemical analysis. 
Sample: Paraffin-embedded human lung cancer. 
alpha Tubulin antibody [GT114] (GTX628802) diluted at 1:500.
Antigen Retrieval: Citrate buffer, pH 6.0, 15 min
                                                                
![Anti-alpha Tubulin antibody [GT114] used in Western Blot (WB). GTX628802](/upload/website/prouct_img/middle/GTX628802/GTX628802_42030_20150313_WB_Dose_w_23061202_684.webp) 
                                                            
                                                        
                                                    alpha Tubulin antibody detects alpha Tubulin protein by western blot analysis. Varied amount of 293T Whole cell extracts was separated by 10% SDS-PAGE, and the membrane was blotted with alpha Tubulin antibody (GTX628802) at a dilution of 1:10000. The HRP-conjugated anti-mouse IgG antibody (GTX213111-01) was used to detect the primary antibody.
![Anti-alpha Tubulin antibody [GT114] used in IHC (Paraffin sections) (IHC-P). GTX628802](/upload/website/prouct_img/middle/GTX628802/GTX628802_41295_20151209_IHC-P_M_w_23061202_897.webp) 
                                                            
                                                        
                                                    
                                                                    alpha Tubulin antibody [GT114] detects alpha Tubulin protein at cytoplasm in mouse colon by immunohistochemical analysis. 
Sample: Paraffin-embedded mouse colon.
Red: alpha Tubulin antibody [GT114] (GTX628802) diluted at 1:500. 
Green: beta Catenin antibody [N1N2-2] (GTX101435) diluted at 1:500.
Blue: Hoechst 33342 staining.
Antigen Retrieval: Trilogy™ (EDTA based, pH 8.0) buffer, 15min
                                                                
![Anti-alpha Tubulin antibody [GT114] used in Western Blot (WB). GTX628802](/upload/website/prouct_img/middle/GTX628802/GTX628802_20240411_citeab_WB_2542_24041502_155.webp) 
                                                            
                                                        
                                                    The data was published in the journal J Cell Mol Med in 2020. PMID: 31821701
![Anti-alpha Tubulin antibody [GT114] used in Western Blot (WB). GTX628802](/upload/website/prouct_img/middle/GTX628802/GTX628802_20240411_citeab_WB_2375_24041502_287.webp) 
                                                            
                                                        
                                                    The data was published in the journal PLoS One in 2015. PMID: 25811469
![Anti-alpha Tubulin antibody [GT114] used in Western Blot (WB). GTX628802](/upload/website/prouct_img/middle/GTX628802/GTX628802_20240411_citeab_WB_2372_24041502_990.webp) 
                                                            
                                                        
                                                    The data was published in the journal J Cell Mol Med in 2020. PMID: 31821701
![Anti-alpha Tubulin antibody [GT114] used in Western Blot (WB). GTX628802](/upload/website/prouct_img/middle/GTX628802/GTX628802_20240411_citeab_WB_2374_24041502_302.webp) 
                                                            
                                                        
                                                    The data was published in the journal PLoS One in 2015. PMID: 25811469
![Anti-alpha Tubulin antibody [GT114] used in Western Blot (WB). GTX628802](/upload/website/prouct_img/middle/GTX628802/GTX628802_20240411_citeab_WB_2371_24041502_389.webp) 
                                                            
                                                        
                                                    The data was published in the journal Nat Commun in 2020. PMID: 32005813
![Anti-alpha Tubulin antibody [GT114] used in Western Blot (WB). GTX628802](/upload/website/prouct_img/middle/GTX628802/GTX628802_20240411_citeab_WB_2373_24041502_647.webp) 
                                                            
                                                        
                                                    The data was published in the journal Toxins (Basel) in 2019. PMID: 31159487
![Anti-alpha Tubulin antibody [GT114] used in Western Blot (WB). GTX628802](/upload/website/prouct_img/middle/GTX628802/GTX628802_20240411_citeab_WB_2200_24041502_296.webp) 
                                                            
                                                        
                                                    The data was published in the journal Cell Biosci in 2019. PMID: 31044068
![Anti-alpha Tubulin antibody [GT114] used in Western Blot (WB). GTX628802](/upload/website/prouct_img/middle/GTX628802/GTX628802_20240411_citeab_WB_1693_24041501_754.webp) 
                                                            
                                                        
                                                    The data was published in the journal PLoS One in 2014. PMID: 25000307
![Anti-alpha Tubulin antibody [GT114] used in Western Blot (WB). GTX628802](/upload/website/prouct_img/middle/GTX628802/GTX628802_20240411_citeab_WB_583_24041501_218.webp) 
                                                            
                                                        
                                                    The data was published in the journal Genome Biol in 2018.PMID: 29548335
![Anti-alpha Tubulin antibody [GT114] used in Western Blot (WB). GTX628802](/upload/website/prouct_img/middle/GTX628802/GTX628802_20240411_citeab_WB_588_24041501_586.webp) 
                                                            
                                                        
                                                    The data was published in the journal PLoS Biol in 2019.PMID: 30883547
![Anti-alpha Tubulin antibody [GT114] used in Western Blot (WB). GTX628802](/upload/website/prouct_img/middle/GTX628802/GTX628802_20240411_citeab_WB_582_24041501_688.webp) 
                                                            
                                                        
                                                    The data was published in the journal Nat Commun in 2019.PMID: 31278365
![Anti-alpha Tubulin antibody [GT114] used in Western Blot (WB). GTX628802](/upload/website/prouct_img/middle/GTX628802/GTX628802_20240411_citeab_WB_589_24041501_790.webp) 
                                                            
                                                        
                                                    The data was published in the journal Physiol Rep in 2017.PMID: 28408640
![Anti-alpha Tubulin antibody [GT114] used in Western Blot (WB). GTX628802](/upload/website/prouct_img/middle/GTX628802/GTX628802_20240411_citeab_WB_587_24041501_605.webp) 
                                                            
                                                        
                                                    The data was published in the journal PLoS One in 2017.PMID: 28467493
![Anti-alpha Tubulin antibody [GT114] used in Western Blot (WB). GTX628802](/upload/website/prouct_img/middle/GTX628802/GTX628802_20240411_citeab_WB_585_24041501_764.webp) 
                                                            
                                                        
                                                    The data was published in the journal Biomolecules in 2020.PMID: 32635653
![Anti-alpha Tubulin antibody [GT114] used in Western Blot (WB). GTX628802](/upload/website/prouct_img/middle/GTX628802/GTX628802_20240411_citeab_WB_584_24041501_660.webp) 
                                                            
                                                        
                                                    The data was published in the journal Genome Biol in 2018.PMID: 29548335
![Anti-alpha Tubulin antibody [GT114] used in Western Blot (WB). GTX628802](/upload/website/prouct_img/middle/GTX628802/GTX628802_20240411_citeab_WB_586_24041501_188.webp) 
                                                            
                                                        
                                                    The data was published in the journal Biomolecules in 2020.PMID: 32635653
![Anti-alpha Tubulin antibody [GT114] used in Western Blot (WB). GTX628802](/upload/website/prouct_img/middle/GTX628802/GTX628802_20240411_citeab_WB_580_24041501_167.webp) 
                                                            
                                                        
                                                    The data was published in the journal PLoS Biol in 2019.PMID: 30883547
![Anti-alpha Tubulin antibody [GT114] used in Western Blot (WB). GTX628802](/upload/website/prouct_img/middle/GTX628802/GTX628802_20240411_citeab_WB_581_24041501_238.webp) 
                                                            
                                                        
                                                    The data was published in the journal Life Sci Alliance in 2019.PMID: 31767615
![Anti-alpha Tubulin antibody [GT114] used in Western Blot (WB). GTX628802](/upload/website/prouct_img/middle/GTX628802/GTX628802_20240411_citeab_WB_309_24041501_514.webp) 
                                                            
                                                        
                                                    The data was published in the 2022 in Int J Mol Sci. PMID: 35055077
![Anti-alpha Tubulin antibody [GT114] used in Immunocytochemistry/ Immunofluorescence (ICC/IF). GTX628802](/upload/website/prouct_img/middle/GTX628802/GTX628802_20240411_citeab_ICCIF_366_24041501_159.webp) 
                                                            
                                                        
                                                    The data was published in the 2018 in Sci Rep. PMID: 30459446
![Anti-alpha Tubulin antibody [GT114] used in Western Blot (WB). GTX628802](/upload/website/prouct_img/middle/GTX628802/GTX628802_20240411_citeab_WB_308_24041501_331.webp) 
                                                            
                                                        
                                                    The data was published in the 2022 in Int J Mol Sci. PMID: 35055077
![Anti-alpha Tubulin antibody [GT114] used in Western Blot (WB). GTX628802](/upload/website/prouct_img/middle/GTX628802/GTX628802_20240411_citeab_WB_367_24041501_334.webp) 
                                                            
                                                        
                                                    The data was published in the 2018 in Sci Rep. PMID: 30459446
![Anti-alpha Tubulin antibody [GT114] used in Western Blot (WB). GTX628802](/upload/website/prouct_img/middle/GTX628802/GTX628802_45175_20230922_WB_Sensitivity_24010223_303.webp) 
                                            ![Anti-alpha Tubulin antibody [GT114] used in Immunocytochemistry/ Immunofluorescence (ICC/IF). GTX628802](/upload/website/prouct_img/middle/GTX628802/GTX628802_45175_20231117_ICC_IF_23121122_891.webp) 
                                            ![Anti-alpha Tubulin antibody [GT114] used in IHC (Paraffin sections) (IHC-P). GTX628802](/upload/website/prouct_img/middle/GTX628802/GTX628802_42030_20150518_IHC_2_w_23061202_447.webp) 
                                            ![Anti-alpha Tubulin antibody [GT114] used in Western Blot (WB). GTX628802](/upload/website/prouct_img/middle/GTX628802/GTX628802_41204_WB_Z_eye_w_23061202_891.webp) 
                                            ![Anti-alpha Tubulin antibody [GT114] used in Western Blot (WB). GTX628802](/upload/website/prouct_img/middle/GTX628802/GTX628802_41204_WB_multi species_w_23061202_138.webp) 
                                            ![Anti-alpha Tubulin antibody [GT114] used in Immunocytochemistry/ Immunofluorescence (ICC/IF). GTX628802](/upload/website/prouct_img/middle/GTX628802/GTX628802_42030_20161004_IFA_w_23061202_993.webp) 
                                            ![Anti-alpha Tubulin antibody [GT114] used in IHC (Frozen sections) (IHC-Fr). GTX628802](/upload/website/prouct_img/middle/GTX628802/GTX628802_42030_20150814_IHC-Fr_M_w_23061202_525.webp) 
                                            ![Anti-alpha Tubulin antibody [GT114] used in Western Blot (WB). GTX628802](/upload/website/prouct_img/middle/GTX628802/GTX628802_42926_20200320_WB_w_23061202_912.webp) 
                                            ![Anti-alpha Tubulin antibody [GT114] used in IHC (Paraffin sections) (IHC-P). GTX628802](/upload/website/prouct_img/middle/GTX628802/GTX628802_42030_20150518_IHC_w_23061202_801.webp) 
                                            ![Anti-alpha Tubulin antibody [GT114] used in Immunocytochemistry/ Immunofluorescence (ICC/IF). GTX628802](/upload/website/prouct_img/middle/GTX628802/GTX628802_41204_IFA_2_w_23061202_771.webp) 
                                            ![Anti-alpha Tubulin antibody [GT114] used in Western Blot (WB). GTX628802](/upload/website/prouct_img/middle/GTX628802/GTX628802_42030_20160901_WB_R_w_23061202_355.webp) 
                                                    
                                            ![Anti-alpha Tubulin antibody [GT114] used in Western Blot (WB). GTX628802](/upload/website/prouct_img/middle/GTX628802/GTX628802_42030_20150313_WB_Dose_w_23061202_684.webp) 
                                                    
                                            ![Anti-alpha Tubulin antibody [GT114] used in IHC (Paraffin sections) (IHC-P). GTX628802](/upload/website/prouct_img/middle/GTX628802/GTX628802_41295_20151209_IHC-P_M_w_23061202_897.webp) 
                                                    
                                            ![Anti-alpha Tubulin antibody [GT114] used in Western Blot (WB). GTX628802](/upload/website/prouct_img/middle/GTX628802/GTX628802_42030_20160901_WB_M_w_23061202_915.webp) 
                                                    
                                            ![Anti-alpha Tubulin antibody [GT114] used in Western Blot (WB). GTX628802](/upload/website/prouct_img/middle/GTX628802/GTX628802_20240411_citeab_WB_579_24041501_110.webp) 
                                                    
                                            ![Anti-alpha Tubulin antibody [GT114] used in Western Blot (WB). GTX628802](/upload/website/prouct_img/middle/GTX628802/GTX628802_20240411_citeab_WB_2542_24041502_155.webp) 
                                                    
                                            ![Anti-alpha Tubulin antibody [GT114] used in Western Blot (WB). GTX628802](/upload/website/prouct_img/middle/GTX628802/GTX628802_20240411_citeab_WB_2375_24041502_287.webp) 
                                                    
                                            ![Anti-alpha Tubulin antibody [GT114] used in Western Blot (WB). GTX628802](/upload/website/prouct_img/middle/GTX628802/GTX628802_20240411_citeab_WB_2372_24041502_990.webp) 
                                                    
                                            ![Anti-alpha Tubulin antibody [GT114] used in Western Blot (WB). GTX628802](/upload/website/prouct_img/middle/GTX628802/GTX628802_20240411_citeab_WB_2374_24041502_302.webp) 
                                                    
                                            ![Anti-alpha Tubulin antibody [GT114] used in Western Blot (WB). GTX628802](/upload/website/prouct_img/middle/GTX628802/GTX628802_20240411_citeab_WB_2371_24041502_389.webp) 
                                                    
                                            ![Anti-alpha Tubulin antibody [GT114] used in Western Blot (WB). GTX628802](/upload/website/prouct_img/middle/GTX628802/GTX628802_20240411_citeab_WB_2373_24041502_647.webp) 
                                                    
                                            ![Anti-alpha Tubulin antibody [GT114] used in Western Blot (WB). GTX628802](/upload/website/prouct_img/middle/GTX628802/GTX628802_20240411_citeab_WB_2200_24041502_296.webp) 
                                                    
                                            ![Anti-alpha Tubulin antibody [GT114] used in Western Blot (WB). GTX628802](/upload/website/prouct_img/middle/GTX628802/GTX628802_20240411_citeab_WB_1693_24041501_754.webp) 
                                                    
                                            ![Anti-alpha Tubulin antibody [GT114] used in Western Blot (WB). GTX628802](/upload/website/prouct_img/middle/GTX628802/GTX628802_20240411_citeab_WB_583_24041501_218.webp) 
                                                    
                                            ![Anti-alpha Tubulin antibody [GT114] used in Western Blot (WB). GTX628802](/upload/website/prouct_img/middle/GTX628802/GTX628802_20240411_citeab_WB_588_24041501_586.webp) 
                                                    
                                            ![Anti-alpha Tubulin antibody [GT114] used in Western Blot (WB). GTX628802](/upload/website/prouct_img/middle/GTX628802/GTX628802_20240411_citeab_WB_582_24041501_688.webp) 
                                                    
                                            ![Anti-alpha Tubulin antibody [GT114] used in Western Blot (WB). GTX628802](/upload/website/prouct_img/middle/GTX628802/GTX628802_20240411_citeab_WB_589_24041501_790.webp) 
                                                    
                                            ![Anti-alpha Tubulin antibody [GT114] used in Western Blot (WB). GTX628802](/upload/website/prouct_img/middle/GTX628802/GTX628802_20240411_citeab_WB_587_24041501_605.webp) 
                                                    
                                            ![Anti-alpha Tubulin antibody [GT114] used in Western Blot (WB). GTX628802](/upload/website/prouct_img/middle/GTX628802/GTX628802_20240411_citeab_WB_585_24041501_764.webp) 
                                                    
                                            ![Anti-alpha Tubulin antibody [GT114] used in Western Blot (WB). GTX628802](/upload/website/prouct_img/middle/GTX628802/GTX628802_20240411_citeab_WB_584_24041501_660.webp) 
                                                    
                                            ![Anti-alpha Tubulin antibody [GT114] used in Western Blot (WB). GTX628802](/upload/website/prouct_img/middle/GTX628802/GTX628802_20240411_citeab_WB_586_24041501_188.webp) 
                                                    
                                            ![Anti-alpha Tubulin antibody [GT114] used in Western Blot (WB). GTX628802](/upload/website/prouct_img/middle/GTX628802/GTX628802_20240411_citeab_WB_580_24041501_167.webp) 
                                                    
                                            ![Anti-alpha Tubulin antibody [GT114] used in Western Blot (WB). GTX628802](/upload/website/prouct_img/middle/GTX628802/GTX628802_20240411_citeab_WB_581_24041501_238.webp) 
                                                    
                                            ![Anti-alpha Tubulin antibody [GT114] used in Western Blot (WB). GTX628802](/upload/website/prouct_img/middle/GTX628802/GTX628802_20240411_citeab_WB_309_24041501_514.webp) 
                                                    
                                            ![Anti-alpha Tubulin antibody [GT114] used in Immunocytochemistry/ Immunofluorescence (ICC/IF). GTX628802](/upload/website/prouct_img/middle/GTX628802/GTX628802_20240411_citeab_ICCIF_366_24041501_159.webp) 
                                                    
                                            ![Anti-alpha Tubulin antibody [GT114] used in Western Blot (WB). GTX628802](/upload/website/prouct_img/middle/GTX628802/GTX628802_20240411_citeab_WB_308_24041501_331.webp) 
                                                    
                                            ![Anti-alpha Tubulin antibody [GT114] used in Western Blot (WB). GTX628802](/upload/website/prouct_img/middle/GTX628802/GTX628802_20240411_citeab_WB_367_24041501_334.webp) 
                                                    
                                            - 
                                            宿主Mouse
- 
                                            克隆Monoclonal
- 
                                            克隆编号GT114
- 
                                                同种型IgG2a
- 
                                            实验应用WB ICC/IF IHC-P IHC-Fr FCM
- 
                                            种属反应Human, Mouse, Rat, Zebrafish, Goat, Drosophila, Crucian carp
