 
                                                            
                                                        
                                                    Non-transfected (–) and transfected (+) 293T whole cell extracts (10 μg) were separated by 10% SDS-PAGE, and the membrane was blotted with beta Actin antibody (GTX109639) diluted at 1:15000. The HRP-conjugated anti-rabbit IgG antibody (GTX213110-01) was used to detect the primary antibody.
 
                                                            
                                                        
                                                    
                                                                    Sample (30 μg of whole cell lysate) 
 A: Jurkat 
 B: Raji 
 C: 293T 
 D: A431 
 E: HeLa 
 F: HepG2 
 G: H1299 
 H: HCT116 
 I: MCF-7 
 J: NT2D1 
 K: PC-3 
 L: U87-MG 
 10% SDS PAGE 
 GTX109639 diluted at 1:10000 
The HRP-conjugated anti-rabbit IgG antibody (GTX213110-01) was used to detect the primary antibody.
                                                                
 
                                                            
                                                        
                                                    
                                                                    beta Actin antibody detects ACTB protein by western blot analysis.
A. 50 μg mouse brain lysate/extract
B. 50 μg mouse kidney lysate/extract
C. 50 μg mouse lung lysate/extract
D. 50 μg mouse testis lysate/extract
10% SDS-PAGE
beta Actin antibody (GTX109639) dilution: 1:10000 
The HRP-conjugated anti-rabbit IgG antibody (GTX213110-01) was used to detect the primary antibody.
                                                                
 
                                                            
                                                        
                                                    
                                                                    beta Actin antibody detects ACTB protein by western blot analysis.
A. 30 μg PC-12 whole cell lysate/extract
B. 30 μg Rat-2 whole cell lysate/extract
10% SDS-PAGE
beta Actin antibody (GTX109639) dilution: 1:5000 
The HRP-conjugated anti-rabbit IgG antibody (GTX213110-01) was used to detect the primary antibody.
                                                                
 
                                                            
                                                        
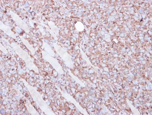
                                                    beta Actin antibody detects beta Actin protein at cell membrane and cytoplasm by immunohistochemical analysis.Sample: Paraffin-embedded mouse intestine.beta Actin stained by beta Actin antibody (GTX109639) diluted at 1:500.Antigen Retrieval: Citrate buffer, pH 6.0, 15 min
 
                                                            
                                                        
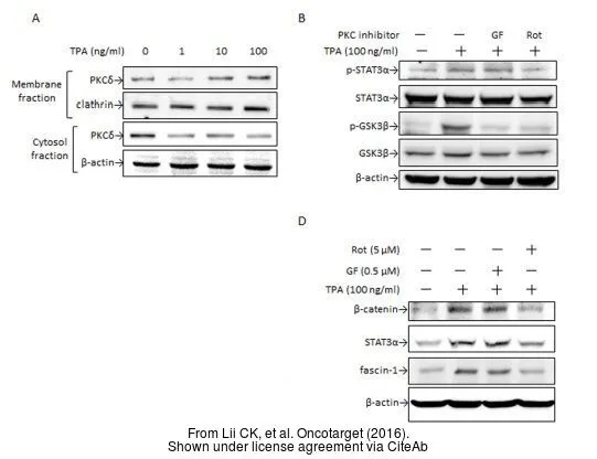
                                                    The data was published in the journal Oncotarget in 2016. PMID: 27036017
 
                                                            
                                                        
                                                    The data was published in the journal Oncotarget in 2016. PMID: 27036017
 
                                                            
                                                        
                                                    The data was published in the journal Oncotarget in 2016. PMID: 27036017
 
                                                            
                                                        
                                                    The data was published in the journal Oncotarget in 2016. PMID: 27036017
 
                                                            
                                                        
                                                    The data was published in the journal Oncotarget in 2016. PMID: 27036017
 
                                                            
                                                        
                                                    The data was published in the journal Oncotarget in 2016. PMID: 27036017
 
                                                            
                                                        
                                                    The data was published in the journal Oncotarget in 2016. PMID: 27036017
 
                                                            
                                                        
                                                    The data was published in the journal Int J Mol Sci in 2019. PMID: 31323961
 
                                                            
                                                        
                                                    The data was published in the journal Materials (Basel) in 2018. PMID: 30223515
 
                                                            
                                                        
                                                    The data was published in the journal Int J Mol Sci in 2019. PMID: 31323961
 
                                                            
                                                        
                                                    The data was published in the journal Int J Mol Sci in 2019. PMID: 31323961
 
                                                            
                                                        
                                                    The data was published in the journal Int J Mol Sci in 2019. PMID: 31323961
 
                                                            
                                                        
                                                    The data was published in the journal PLoS One in 2014. PMID: 25437003
 
                                                            
                                                        
                                                    The data was published in the journal Oncotarget in 2015. PMID: 25869099
 
                                                            
                                                        
                                                    The data was published in the journal J Cancer in 2019. PMID: 31762816
 
                                                            
                                                        
                                                    The data was published in the journal Sci Rep in 2018. PMID: 29968775
 
                                                            
                                                        
                                                    The data was published in the journal Cancer Med in 2019. PMID: 31274246
 
                                                            
                                                        
                                                    The data was published in the journal Oncotarget in 2015. PMID: 25869099
 
                                                            
                                                        
                                                    The data was published in the journal Oncogenesis in 2015. PMID: 26690546
 
                                                            
                                                        
                                                    The data was published in the journal Sci Rep in 2018. PMID: 29968775
 
                                                            
                                                        
                                                    The data was published in the journal Biosci Rep in 2018. PMID: 29789400
 
                                                            
                                                        
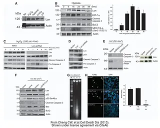
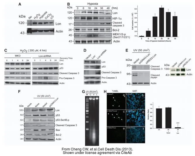
                                                    The data was published in the journal Cell Death Dis in 2013. PMID: 23788038
 
                                                            
                                                        
                                                    The data was published in the journal PLoS One in 2014. PMID: 24533157
 
                                                            
                                                        
                                                    The data was published in the journal Int J Mol Sci in 2017. PMID: 28837077
 
                                                            
                                                        
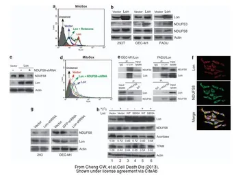
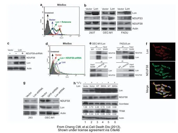
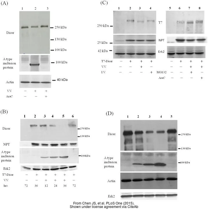
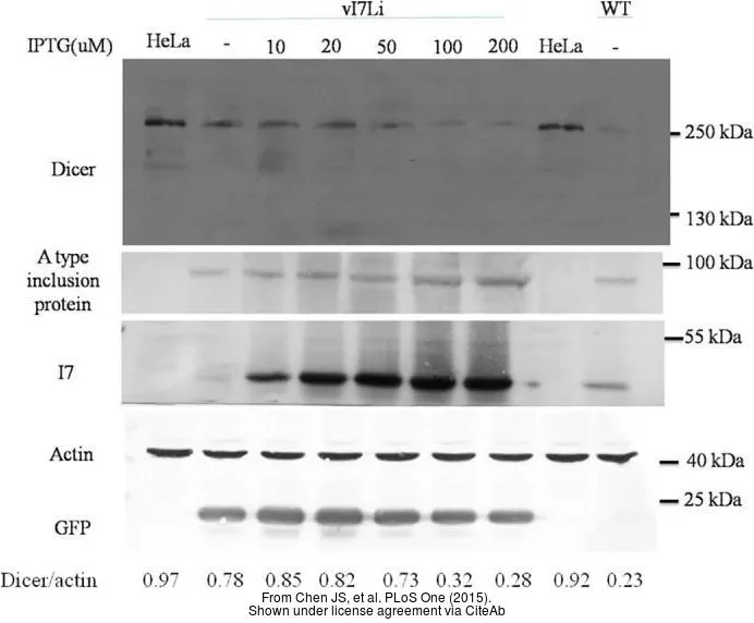
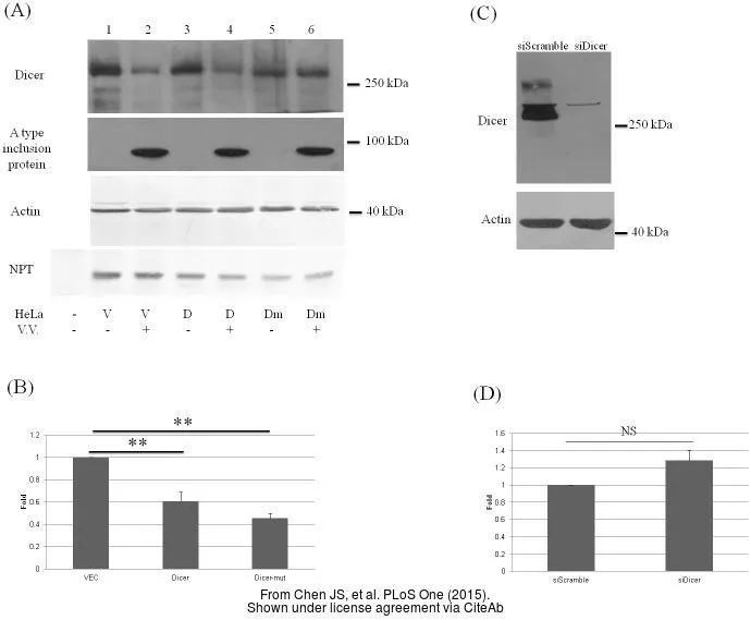
                                                    The data was published in the journal Cell Death Dis in 2013. PMID: 23788038
 
                                                            
                                                        
                                                    The data was published in the journal Cell Death Dis in 2013. PMID: 23788038
 
                                                            
                                                        
                                                    The data was published in the journal Cell Death Dis in 2013. PMID: 23788038
 
                                                            
                                                        
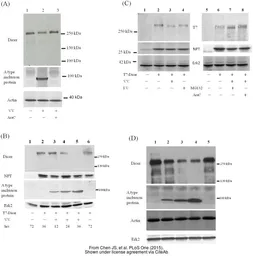
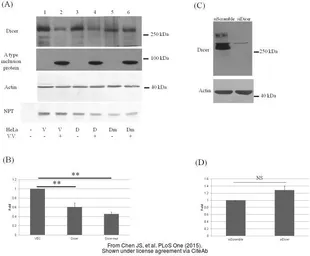
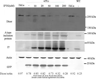
                                                    The data was published in the journal PLoS One in 2015. PMID: 26161782
 
                                                            
                                                        
                                                    The data was published in the journal PLoS One in 2015. PMID: 25815818
 
                                                            
                                                        
                                                    The data was published in the journal J Transl Med in 2017. PMID: 28472954
 
                                                            
                                                        
                                                    The data was published in the journal PLoS One in 2015. PMID: 25815818
 
                                                            
                                                        
                                                    The data was published in the journal PLoS One in 2015. PMID: 25815818
 
                                                            
                                                        
                                                    The data was published in the journal Sci Rep in 2016. PMID: 26838546
 
                                                            
                                                        
                                                    The data was published in the journal J Transl Med in 2017. PMID: 28472954
 
                                                            
                                                        
                                                    The data was published in the journal J Transl Med in 2017. PMID: 28472954
 
                                                            
                                                        
                                                    The data was published in the journal PLoS One in 2015. PMID: 25815818
 
                                                            
                                                        
                                                    The data was published in the journal J Transl Med in 2017. PMID: 28472954
 
                                                            
                                                        
                                                    The data was published in the journal PLoS One in 2017. PMID: 29016672
 
                                                            
                                                        
                                                    The data was published in the journal PLoS One in 2016. PMID: 27404495
 
                                                            
                                                        
                                                    The data was published in the journal PLoS Genet in 2015. PMID: 25760041
 
                                                            
                                                        
                                                    The data was published in the journal Sci Rep in 2017. PMID: 28325912
 
                                                            
                                                        
                                                    The data was published in the journal ScientificWorldJournal in 2014. PMID: 24578622
 
                                                            
                                                        
                                                    The data was published in the journal Int J Mol Sci in 2017. PMID: 28926934
 
                                                            
                                                        
                                                    The data was published in the journal PLoS One in 2016. PMID: 27281159
 
                                                            
                                                        
                                                    The data was published in the journal Int J Mol Sci in 2019.PMID: 31744099
 
                                                            
                                                        
                                                    The data was published in the journal Int J Mol Sci in 2019.PMID: 31744099
 
                                                            
                                                        
                                                    The data was published in the journal J Clin Med in 2019.PMID: 31167519
 
                                                            
                                                        
                                                    The data was published in the journal Cell Death Dis in 2016.PMID: 27831565
 
                                                            
                                                        
                                                    The data was published in the journal Exp Ther Med in 2014.PMID: 24396418
 
                                                            
                                                        
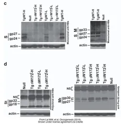
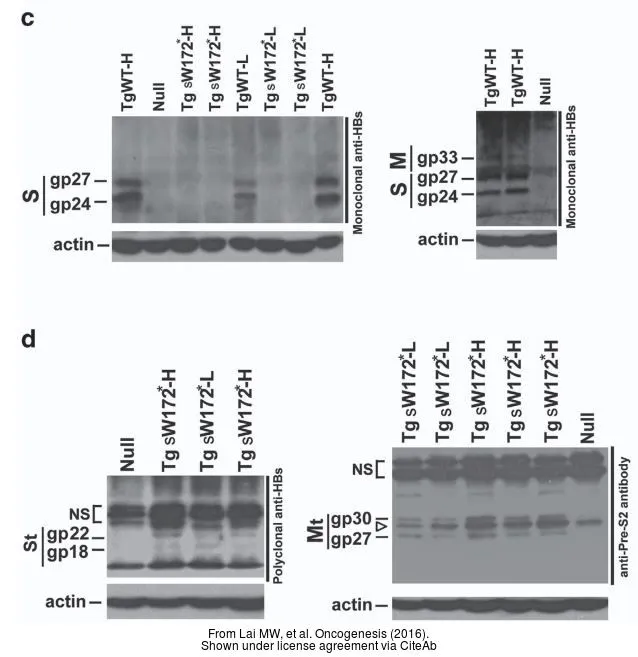
                                                    The data was published in the journal Oncogenesis in 2016.PMID: 27918551
 
                                                            
                                                        
                                                    The data was published in the journal PLoS Biol in 2018.PMID: 29337987
 
                                                            
                                                        
                                                    The data was published in the journal BMC Nephrol in 2018.PMID: 30005632
 
                                                            
                                                        
                                                    The data was published in the journal Oncogenesis in 2016.PMID: 27918551
 
                                                            
                                                        
                                                    The data was published in the journal Sci Rep in 2020.PMID: 32286426
 
                                                            
                                                        
                                                    The data was published in the journal Int J Mol Sci in 2019.PMID: 31744099
 
                                                            
                                                        
                                                    The data was published in the journal Nat Commun in 2019.PMID: 31409793
 
                                                            
                                                        
                                                    The data was published in the journal Nat Commun in 2019.PMID: 31409793
 
                                                            
                                                        
                                                    The data was published in the journal Oncogenesis in 2016.PMID: 27918551
 
                                                            
                                                        
                                                    The data was published in the journal PLoS Biol in 2018.PMID: 29337987
 
                                                            
                                                        
                                                    The data was published in the journal Sci Rep in 2017.PMID: 28169314
 
                                                            
                                                        
                                                    The data was published in the journal J Int Soc Sports Nutr in 2015.PMID: 25792976
 
                                                            
                                                        
                                                    The data was published in the journal Int J Mol Sci in 2019.PMID: 31744099
 
                                                            
                                                        
                                                    The data was published in the journal J Biomed Sci in 2018.PMID: 29361943
 
                                                            
                                                        
                                                    The data was published in the journal Sci Rep in 2019.PMID: 31501500
 
                                                            
                                                        
                                                    The data was published in the journal Aging Dis in 2019.PMID: 31164994
 
                                                            
                                                        
                                                    The data was published in the journal Oncogenesis in 2016.PMID: 27918551
 
                                                            
                                                        
                                                    The data was published in the journal Oncogenesis in 2016.PMID: 27918551
 
                                                            
                                                        
                                                    The data was published in the journal PLoS One in 2013.PMID: 23691025
 
                                                            
                                                        
                                                    The data was published in the journal Aging Dis in 2019.PMID: 31164994
 
                                                            
                                                        
                                                    The data was published in the journal PLoS One in 2013.PMID: 23691025
 
                                                            
                                                        
                                                    The data was published in the journal Int J Mol Sci in 2019.PMID: 31744099
 
                                                            
                                                        
                                                    The data was published in the 2020 in Viruses. PMID: 33003584
 
                                                            
                                                        
                                                    The data was published in the 2020 in Neural Plast. PMID: 33082778
 
                                                            
                                                        
                                                    The data was published in the 2019 in Cancers (Basel). PMID: 31861872
 
                                                            
                                                        
                                                    The data was published in the 2020 in Antioxidants (Basel). PMID: 33203103
 
                                                            
                                                        
                                                    The data was published in the 2020 in Antioxidants (Basel). PMID: 33203103
 
                                                            
                                                        
                                                    The data was published in the 2020 in PLoS One. PMID: 33382817
 
                                                            
                                                        
                                                    The data was published in the 2022 in Elife. PMID: 35416774
 
                                                            
                                                        
                                                    The data was published in the 2022 in Nutrients. PMID: 35684095
 
                                             
                                             
                                             
                                             
                                             
                                             
                                             
                                             
                                             
                                             
                                                    
                                             
                                                    
                                             
                                                    
                                             
                                                    
                                             
                                                    
                                             
                                                    
                                             
                                                    
                                             
                                                    
                                             
                                                    
                                             
                                                    
                                             
                                                    
                                             
                                                    
                                             
                                                    
                                             
                                                    
                                             
                                                    
                                             
                                                    
                                             
                                                    
                                             
                                                    
                                             
                                                    
                                             
                                                    
                                             
                                                    
                                             
                                                    
                                             
                                                    
                                             
                                                    
                                             
                                                    
                                             
                                                    
                                             
                                                    
                                             
                                                    
                                             
                                                    
                                             
                                                    
                                             
                                                    
                                             
                                                    
                                             
                                                    
                                             
                                                    
                                             
                                                    
                                             
                                                    
                                             
                                                    
                                             
                                                    
                                             
                                                    
                                             
                                                    
                                             
                                                    
                                             
                                                    
                                             
                                                    
                                             
                                                    
                                             
                                                    
                                             
                                                    
                                             
                                                    
                                             
                                                    
                                             
                                                    
                                             
                                                    
                                             
                                                    
                                             
                                                    
                                             
                                                    
                                             
                                                    
                                             
                                                    
                                             
                                                    
                                             
                                                    
                                             
                                                    
                                             
                                                    
                                             
                                                    
                                             
                                                    
                                             
                                                    
                                             
                                                    
                                             
                                                    
                                             
                                                    
                                             
                                                    
                                             
                                                    
                                             
                                                    
                                             
                                                    
                                             
                                                    
                                             
                                                    
                                             
                                                    
                                             
                                                    
                                             
                                                    
                                             
                                                    
                                             
                                                    
                                             
                                                    
                                             
                                                    
                                             
                                                    
                                             
                                                    
                                             
                                                    
                                             
                                                    
                                             
                                                    
                                             
                                                    
                                             
                                                    
                                             
                                                    
                                             
                                                    
                                            - 
                                            宿主Rabbit
- 
                                            克隆Polyclonal
- 
                                                同种型IgG
- 
                                            实验应用WB ICC/IF IHC-P IHC-Fr IP
- 
                                            种属反应Human, Mouse, Rat, Yeast, Sheep, Drosophila, Cat, Dog, Hamster, Chicken, Pig, Monkey, Caenorhabditis elegans, Candida albicans, E. coli, Horse, Mosquito, Rice, Xenopus, Treeshrew, Plant, Worm
 
                                             
                                            