![Anti-beta Catenin antibody [N1N2-2], N-term used in Western Blot (WB). GTX101435](/upload/website/prouct_img/middle/GTX101435/GTX101435_42564_20201204_WB_KO_watermark_w_23060100_991.webp) 
                                                        
                                                    Wild-type (WT) and beta Catenin knockout (KO) 293T cell extracts (9 μg) were separated by 7.5% SDS-PAGE, and the membrane was blotted with beta Catenin antibody [N1N2-2], N-term (GTX101435) diluted at 1:1000. The HRP-conjugated anti-rabbit IgG antibody (GTX213110-01) was used to detect the primary antibody.
![Anti-beta Catenin antibody [N1N2-2], N-term used in IHC (Paraffin sections) (IHC-P). GTX101435](/upload/website/prouct_img/middle/GTX101435/GTX101435_42235_20151209_IHC-P_M_w_23060100_701.webp) 
                                                            
                                                        
                                                    
                                                                    beta Catenin antibody [N1N2-2] detects beta Catenin protein at cell membrane in mouse colon by immunohistochemical analysis. 
Sample: Paraffin-embedded mouse colon. 
Green: beta Catenin antibody [N1N2-2] (GTX101435) diluted at 1:500.
Red: alpha Tubulin antibody [GT114] (GTX628802) diluted at 1:500. 
Blue: Hoechst 33342 staining.
Antigen Retrieval: Citrate buffer, pH 6.0, 15 min
                                                                
![Anti-beta Catenin antibody [N1N2-2], N-term used in IHC (Paraffin sections) (IHC-P). GTX101435](/upload/website/prouct_img/middle/GTX101435/GTX101435_42235_20151209_IHC-P_M_2_w_23060100_185.webp) 
                                                            
                                                        
                                                    
                                                                    beta Catenin antibody [N1N2-2] detects beta Catenin protein at cell membrane in mouse colon by immunohistochemical analysis. 
Sample: Paraffin-embedded mouse colon. 
Green: beta Catenin antibody [N1N2-2] (GTX101435) diluted at 1:500.
Red: alpha Tubulin antibody [GT114] (GTX628802) diluted at 1:500. 
Blue: Hoechst 33342 staining.
Antigen Retrieval: Citrate buffer, pH 6.0, 15 min
                                                                
![Anti-beta Catenin antibody [N1N2-2], N-term used in Western Blot (WB). GTX101435](/upload/website/prouct_img/middle/GTX101435/GTX101435_42536_20200925_WB_competitor_watermark_w_23060100_930.webp) 
                                                            
                                                        
                                                    
                                                                    Whole cell extract (30 μg) was separated by 7.5% SDS-PAGE, and the membranes were blotted with beta Catenin antibody [N1N2-2], N-term (GTX101435) diluted at 1:1000 and competitor's antibody diluted at 1:500. The HRP-conjugated anti-rabbit IgG antibody (GTX213110-01) was used to detect the primary antibody.
*The competitor is not affiliated with GeneTex and does not endorse this product.
                                                                
![Anti-beta Catenin antibody [N1N2-2], N-term used in Immunocytochemistry/ Immunofluorescence (ICC/IF). GTX101435](/upload/website/prouct_img/middle/GTX101435/GTX101435_42669_20161228_IFA_w_23060100_869.webp) 
                                                            
                                                        
                                                    
                                                                    beta Catenin antibody [N1N2-2], N-term detects beta Catenin protein at cell membrane by immunofluorescent analysis.
Sample: HCT 116 cells were fixed in 4% paraformaldehyde at RT for 15 min.
Green: beta Catenin protein stained by beta Catenin antibody [N1N2-2], N-term (GTX101435) diluted at 1:500.
Blue: Hoechst 33342 staining.
                                                                
![Anti-beta Catenin antibody [N1N2-2], N-term used in IHC (Paraffin sections) (IHC-P). GTX101435](/upload/website/prouct_img/middle/GTX101435/GTX101435_39876_20150206_IHC_M_3_w_23060100_673.webp) 
                                                            
                                                        
                                                    
                                                                    beta Catenin antibody [N1N2-2], N-term detects beta Catenin protein at membrane on mouse urinary bladder by immunohistochemical analysis. 
Sample: Paraffin-embedded mouse urinary bladder. 
beta Catenin antibody [N1N2-2], N-term (GTX101435) diluted at 1:500.
Antigen Retrieval: Trilogy™ (EDTA based, pH 8.0) buffer, 15min
                                                                
![Anti-beta Catenin antibody [N1N2-2], N-term used in Immunocytochemistry/ Immunofluorescence (ICC/IF). GTX101435](/upload/website/prouct_img/middle/GTX101435/GTX101435_42536_20160817_IFA_w_23060100_341.webp) 
                                                            
                                                        
                                                    
                                                                    beta Catenin antibody [N1N2-2], N-term detects beta Catenin protein at cell membrane by immunofluorescent analysis.
Sample: HeLa cells were fixed in 4% paraformaldehyde at RT for 15 min.
Green: beta Catenin protein stained by beta Catenin antibody [N1N2-2], N-term (GTX101435) diluted at 1:500.
Blue: Hoechst 33342 staining.
                                                                
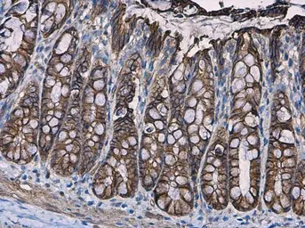
![Anti-beta Catenin antibody [N1N2-2], N-term used in IHC (Paraffin sections) (IHC-P). GTX101435](/upload/website/prouct_img/middle/GTX101435/GTX101435_42536_20160830_IHC-P_M_w_23060100_109.webp) 
                                                            
                                                        
                                                    
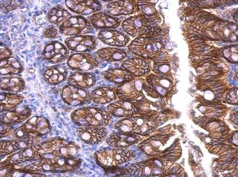
                                                                    beta Catenin antibody [N1N2-2], N-term detects beta Catenin protein at cell membrane and cytoplasm in mouse intestine by immunohistochemical analysis. 
Sample: Paraffin-embedded mouse intestine. 
beta Catenin antibody [N1N2-2], N-term (GTX101435) diluted at 1:500.
Antigen Retrieval: Citrate buffer, pH 6.0, 15 min
                                                                
![Anti-beta Catenin antibody [N1N2-2], N-term used in Western Blot (WB). GTX101435](/upload/website/prouct_img/middle/GTX101435/GTX101435_39876_WB_R_w_23060100_791.webp) 
                                                            
                                                        
                                                    
                                                                    beta Catenin antibody [N1N2-2], N-term detects CTNNB1 protein by western blot analysis.
A. 30 μg PC-12 whole cell lysate/extract | 
7.5% SDS-PAGE
beta Catenin antibody [N1N2-2], N-term (GTX101435) dilution: 1:1000 
The HRP-conjugated anti-rabbit IgG antibody (GTX213110-01) was used to detect the primary antibody.
                                                                
![Anti-beta Catenin antibody [N1N2-2], N-term used in IHC (Paraffin sections) (IHC-P). GTX101435](/upload/website/prouct_img/middle/GTX101435/GTX101435_42452_20160803_IHC-P_M_w_23060100_873.webp) 
                                                            
                                                        
                                                    
                                                                    beta Catenin antibody [N1N2-2], N-term detects beta Catenin protein at cell membrane and cytoplasm in mouse duodenum by immunohistochemical analysis. 
Sample: Paraffin-embedded mouse duodenum. 
beta Catenin antibody [N1N2-2], N-term (GTX101435) diluted at 1:500.
Antigen Retrieval: Citrate buffer, pH 6.0, 15 min
                                                                
![Anti-beta Catenin antibody [N1N2-2], N-term used in IHC (Paraffin sections) (IHC-P). GTX101435](/upload/website/prouct_img/middle/GTX101435/GTX101435_42452_20160713_IHC-P_H2_w_23060100_259.webp) 
                                                            
                                                        
                                                    
                                                                    beta Catenin antibody [N1N2-2], N-term detects beta Catenin protein at cell membrane and cytoplasm in human cervix by immunohistochemical analysis. 
Sample: Paraffin-embedded human cervix. 
beta Catenin antibody [N1N2-2], N-term (GTX101435) diluted at 1:500.
Antigen Retrieval: Citrate buffer, pH 6.0, 15 min
                                                                
![Anti-beta Catenin antibody [N1N2-2], N-term used in IHC (Paraffin sections) (IHC-P). GTX101435](/upload/website/prouct_img/middle/GTX101435/GTX101435_42592_20161129_IHC-P_R_w_23060100_834.webp) 
                                                            
                                                        
                                                    
                                                                    beta Catenin antibody [N1N2-2], N-term detects beta Catenin protein at cell membrane and cytoplasm in rat colon by immunohistochemical analysis. 
Sample: Paraffin-embedded rat colon. 
beta Catenin antibody [N1N2-2], N-term (GTX101435) diluted at 1:500.
Antigen Retrieval: Citrate buffer, pH 6.0, 15 min
                                                                
![Anti-beta Catenin antibody [N1N2-2], N-term used in Flow cytometry (FCM). GTX101435](/upload/website/prouct_img/middle/GTX101435/GTX101435_42235_20160715_FACS_w_23060100_739.webp) 
                                                            
                                                        
                                                    
                                                                    beta Catenin antibody [N1N2-2], N-term  (GTX101435) detects CTNNB1 protein by flow cytometry analysis.
 Sample: HeLa cell.
 Black: Unlabelled sample was used as a control.
 Red: beta Catenin antibody [N1N2-2], N-term  (GTX101435) dilution: 1:50.
 Acquisition of 20,000 events were collected for FACS analysis.
                                                                
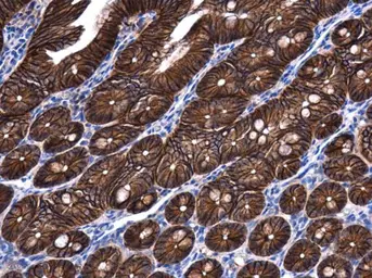
![Anti-beta Catenin antibody [N1N2-2], N-term used in IHC (Paraffin sections) (IHC-P). GTX101435](/upload/website/prouct_img/middle/GTX101435/GTX101435_39876_IHC_M_2_w_23060100_382.webp) 
                                                            
                                                        
                                                    
                                                                    beta Catenin antibody [N1N2-2], N-term detects beta Catenin protein at membrane on mouse colon by immunohistochemical analysis. 
Sample: Paraffin-embedded mouse colon. 
beta Catenin antibody [N1N2-2], N-term (GTX101435) dilution: 1:500.
Antigen Retrieval: Trilogy™ (EDTA based, pH 8.0) buffer, 15min
                                                                
![Anti-beta Catenin antibody [N1N2-2], N-term used in IHC (Paraffin sections) (IHC-P). GTX101435](/upload/website/prouct_img/middle/GTX101435/GTX101435_39876_IHC_M_w_23060100_564.webp) 
                                                            
                                                        
                                                    
                                                                    beta Catenin antibody [N1N2-2], N-term detects beta Catenin protein at membrane on mouse skin by immunohistochemical analysis. 
Sample: Paraffin-embedded mouse skin. 
beta Catenin antibody [N1N2-2], N-term (GTX101435) dilution: 1:500.
Antigen Retrieval: Trilogy™ (EDTA based, pH 8.0) buffer, 15min
                                                                
![Anti-beta Catenin antibody [N1N2-2], N-term used in IHC (Paraffin sections) (IHC-P). GTX101435](/upload/website/prouct_img/middle/GTX101435/GTX101435_42452_20160713_IHC-P_H_w_23060100_114.webp) 
                                                            
                                                        
                                                    
                                                                    beta Catenin antibody [N1N2-2], N-term detects beta Catenin protein at cell membrane and cytoplasm in human esophagus by immunohistochemical analysis. 
Sample: Paraffin-embedded human esophagus. 
beta Catenin antibody [N1N2-2], N-term (GTX101435) diluted at 1:500.
Antigen Retrieval: Citrate buffer, pH 6.0, 15 min
                                                                
![Anti-beta Catenin antibody [N1N2-2], N-term used in IHC (Paraffin sections) (IHC-P). GTX101435](/upload/website/prouct_img/middle/GTX101435/GTX101435_42564_20161129_IHC-P_M_w_23060100_191.webp) 
                                                            
                                                        
                                                    
                                                                    beta Catenin antibody [N1N2-2], N-term detects beta Catenin protein at cell membrane and cytoplasm in mouse duodenum by immunohistochemical analysis. 
Sample: Paraffin-embedded mouse duodenum. 
beta Catenin antibody [N1N2-2], N-term (GTX101435) diluted at 1:500.
Antigen Retrieval: Citrate buffer, pH 6.0, 15 min
                                                                
![Anti-beta Catenin antibody [N1N2-2], N-term used in IHC (Paraffin sections) (IHC-P). GTX101435](/upload/website/prouct_img/middle/GTX101435/GTX101435_42627_20161129_IHC-P_R_w_23060100_187.webp) 
                                                            
                                                        
                                                    
                                                                    beta Catenin antibody [N1N2-2], N-term detects beta Catenin protein at cell membrane and cytoplasm in rat duodenum by immunohistochemical analysis. 
Sample: Paraffin-embedded rat duodenum. 
beta Catenin antibody [N1N2-2], N-term (GTX101435) diluted at 1:500.
Antigen Retrieval: Citrate buffer, pH 6.0, 15 min
                                                                
![Anti-beta Catenin antibody [N1N2-2], N-term used in Western Blot (WB). GTX101435](/upload/website/prouct_img/middle/GTX101435/GTX101435_42235_20160623_WB_shRNA_watermark_w_23060100_523.webp) 
                                                            
                                                        
                                                    Non-transfected (–) and transfected (+) HeLa whole cell extracts (30 μg) were separated by 7.5% SDS-PAGE, and the membrane was blotted with beta Catenin antibody [N1N2-2], N-term (GTX101435) diluted at 1:1000. The HRP-conjugated anti-rabbit IgG antibody (GTX213110-01) was used to detect the primary antibody.
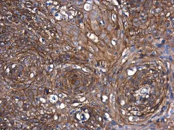
![Anti-beta Catenin antibody [N1N2-2], N-term used in IHC (Paraffin sections) (IHC-P). GTX101435](/upload/website/prouct_img/middle/GTX101435/GTX101435_44825_20230505_IHC-P_multiple_M_23050918_614.webp) 
                                                            
                                                        
                                                    beta Catenin antibody [N1N2-2], N-term detects beta Catenin protein by immunohistochemical analysis.Sample: Paraffin-embedded mouse tissues.beta Catenin stained by beta Catenin antibody [N1N2-2], N-term (GTX101435) diluted at 1:500.Antigen Retrieval: Citrate buffer, pH 6.0, 15 min
![Anti-beta Catenin antibody [N1N2-2], N-term used in IHC (Paraffin sections) (IHC-P). GTX101435](/upload/website/prouct_img/middle/GTX101435/GTX101435_44825_20230505_IHC-P_multiple_R_23050918_618.webp) 
                                                            
                                                        
                                                    beta Catenin antibody [N1N2-2], N-term detects beta Catenin protein by immunohistochemical analysis.Sample: Paraffin-embedded rat tissues.beta Catenin stained by beta Catenin antibody [N1N2-2], N-term (GTX101435) diluted at 1:500.Antigen Retrieval: Citrate buffer, pH 6.0, 15 min
![Anti-beta Catenin antibody [N1N2-2], N-term used in Western Blot (WB). GTX101435](/upload/website/prouct_img/middle/GTX101435/GTX101435_42536_20181123_WB_D_22111423_306.webp) 
                                                            
                                                        
                                                    Whole cell extract (30 μg) was separated by 7.5% SDS-PAGE, and the membrane was blotted with beta Catenin antibody (GTX101435) diluted at 1:1000. The HRP-conjugated anti-rabbit IgG antibody (GTX213110-01) was used to detect the primary antibody, and the signal was developed with Trident ECL plus-Enhanced.
![Anti-beta Catenin antibody [N1N2-2], N-term used in Western Blot (WB). GTX101435](/upload/website/prouct_img/middle/GTX101435/GTX101435_20240411_citeab_WB_1446_24041501_486.webp) 
                                                            
                                                        
                                                    The data was published in the journal Evid Based Complement Alternat Med in 2012.PMID: 23320038
![Anti-beta Catenin antibody [N1N2-2], N-term used in Western Blot (WB). GTX101435](/upload/website/prouct_img/middle/GTX101435/GTX101435_20240411_citeab_WB_2494_24041502_566.webp) 
                                                            
                                                        
                                                    The data was published in the journal Oncotarget in 2018. PMID: 30613366
![Anti-beta Catenin antibody [N1N2-2], N-term used in Western Blot (WB). GTX101435](/upload/website/prouct_img/middle/GTX101435/GTX101435_42564_20201204_WB_KO_watermark_w_23060100_991.webp) 
                                            ![Anti-beta Catenin antibody [N1N2-2], N-term used in IHC (Paraffin sections) (IHC-P). GTX101435](/upload/website/prouct_img/middle/GTX101435/GTX101435_42235_20151209_IHC-P_M_w_23060100_701.webp) 
                                            ![Anti-beta Catenin antibody [N1N2-2], N-term used in IHC (Paraffin sections) (IHC-P). GTX101435](/upload/website/prouct_img/middle/GTX101435/GTX101435_42235_20151209_IHC-P_M_2_w_23060100_185.webp) 
                                            ![Anti-beta Catenin antibody [N1N2-2], N-term used in Western Blot (WB). GTX101435](/upload/website/prouct_img/middle/GTX101435/GTX101435_42536_20200925_WB_competitor_watermark_w_23060100_930.webp) 
                                            ![Anti-beta Catenin antibody [N1N2-2], N-term used in Western Blot (WB). GTX101435](/upload/website/prouct_img/middle/GTX101435/GTX101435_42592_20161124_WB_24112622_542.webp) 
                                            ![Anti-beta Catenin antibody [N1N2-2], N-term used in Immunocytochemistry/ Immunofluorescence (ICC/IF). GTX101435](/upload/website/prouct_img/middle/GTX101435/GTX101435_42669_20161228_IFA_w_23060100_869.webp) 
                                            ![Anti-beta Catenin antibody [N1N2-2], N-term used in IHC (Paraffin sections) (IHC-P). GTX101435](/upload/website/prouct_img/middle/GTX101435/GTX101435_39876_20150206_IHC_M_3_w_23060100_673.webp) 
                                            ![Anti-beta Catenin antibody [N1N2-2], N-term used in Immunocytochemistry/ Immunofluorescence (ICC/IF). GTX101435](/upload/website/prouct_img/middle/GTX101435/GTX101435_42536_20160817_IFA_w_23060100_341.webp) 
                                            ![Anti-beta Catenin antibody [N1N2-2], N-term used in IHC (Paraffin sections) (IHC-P). GTX101435](/upload/website/prouct_img/middle/GTX101435/GTX101435_42536_20160830_IHC-P_M_w_23060100_109.webp) 
                                            ![Anti-beta Catenin antibody [N1N2-2], N-term used in Western Blot (WB). GTX101435](/upload/website/prouct_img/middle/GTX101435/GTX101435_39876_WB_R_w_23060100_791.webp) 
                                            ![Anti-beta Catenin antibody [N1N2-2], N-term used in IHC (Paraffin sections) (IHC-P). GTX101435](/upload/website/prouct_img/middle/GTX101435/GTX101435_42452_20160803_IHC-P_M_w_23060100_873.webp) 
                                                    
                                            ![Anti-beta Catenin antibody [N1N2-2], N-term used in IHC (Paraffin sections) (IHC-P). GTX101435](/upload/website/prouct_img/middle/GTX101435/GTX101435_42452_20160713_IHC-P_H2_w_23060100_259.webp) 
                                                    
                                            ![Anti-beta Catenin antibody [N1N2-2], N-term used in IHC (Paraffin sections) (IHC-P). GTX101435](/upload/website/prouct_img/middle/GTX101435/GTX101435_42592_20161129_IHC-P_R_w_23060100_834.webp) 
                                                    
                                            ![Anti-beta Catenin antibody [N1N2-2], N-term used in Flow cytometry (FCM). GTX101435](/upload/website/prouct_img/middle/GTX101435/GTX101435_42235_20160715_FACS_w_23060100_739.webp) 
                                                    
                                            ![Anti-beta Catenin antibody [N1N2-2], N-term used in IHC (Paraffin sections) (IHC-P). GTX101435](/upload/website/prouct_img/middle/GTX101435/GTX101435_39876_IHC_M_2_w_23060100_382.webp) 
                                                    
                                            ![Anti-beta Catenin antibody [N1N2-2], N-term used in IHC (Paraffin sections) (IHC-P). GTX101435](/upload/website/prouct_img/middle/GTX101435/GTX101435_39876_IHC_M_w_23060100_564.webp) 
                                                    
                                            ![Anti-beta Catenin antibody [N1N2-2], N-term used in IHC (Paraffin sections) (IHC-P). GTX101435](/upload/website/prouct_img/middle/GTX101435/GTX101435_42452_20160713_IHC-P_H_w_23060100_114.webp) 
                                                    
                                            ![Anti-beta Catenin antibody [N1N2-2], N-term used in Immunocytochemistry/ Immunofluorescence (ICC/IF). GTX101435](/upload/website/prouct_img/middle/GTX101435/GTX101435_39876_IFA_w_23060100_717.webp) 
                                                    
                                            ![Anti-beta Catenin antibody [N1N2-2], N-term used in Immunoprecipitation (IP). GTX101435](/upload/website/prouct_img/middle/GTX101435/GTX101435_42235_20160205_IP_w_23060100_482.webp) 
                                                    
                                            ![Anti-beta Catenin antibody [N1N2-2], N-term used in IHC (Paraffin sections) (IHC-P). GTX101435](/upload/website/prouct_img/middle/GTX101435/GTX101435_42564_20161129_IHC-P_M_w_23060100_191.webp) 
                                                    
                                            ![Anti-beta Catenin antibody [N1N2-2], N-term used in ChIP assay (ChIP assay). GTX101435](/upload/website/prouct_img/middle/GTX101435/GTX101435_39876_ChIP_w_23060100_662.webp) 
                                                    
                                            ![Anti-beta Catenin antibody [N1N2-2], N-term used in Western Blot (WB). GTX101435](/upload/website/prouct_img/middle/GTX101435/GTX101435_39876_WB_M_Brain_w_23060100_101.webp) 
                                                    
                                            ![Anti-beta Catenin antibody [N1N2-2], N-term used in IHC (Paraffin sections) (IHC-P). GTX101435](/upload/website/prouct_img/middle/GTX101435/GTX101435_42627_20161129_IHC-P_R_w_23060100_187.webp) 
                                                    
                                            ![Anti-beta Catenin antibody [N1N2-2], N-term used in Western Blot (WB). GTX101435](/upload/website/prouct_img/middle/GTX101435/GTX101435_42235_20160623_WB_shRNA_watermark_w_23060100_523.webp) 
                                                    
                                            ![Anti-beta Catenin antibody [N1N2-2], N-term used in IHC (Paraffin sections) (IHC-P). GTX101435](/upload/website/prouct_img/middle/GTX101435/GTX101435_44825_20230505_IHC-P_multiple_M_23050918_614.webp) 
                                                    
                                            ![Anti-beta Catenin antibody [N1N2-2], N-term used in IHC (Paraffin sections) (IHC-P). GTX101435](/upload/website/prouct_img/middle/GTX101435/GTX101435_44825_20230505_IHC-P_multiple_R_23050918_618.webp) 
                                                    
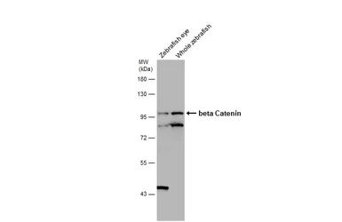
                                            ![Anti-beta Catenin antibody [N1N2-2], N-term used in Western Blot (WB). GTX101435](/upload/website/prouct_img/middle/GTX101435/GTX101435_42564_20221216_WB_Z_22122018_956.webp) 
                                                    
                                            ![Anti-beta Catenin antibody [N1N2-2], N-term used in Western Blot (WB). GTX101435](/upload/website/prouct_img/middle/GTX101435/GTX101435_42536_20190322_WB_C_22111423_270.webp) 
                                                    
                                            ![Anti-beta Catenin antibody [N1N2-2], N-term used in Immunohistochemistry (IHC). GTX101435](/upload/website/prouct_img/middle/GTX101435/GTX101435_39876_IHC_Z_22111423_877.webp) 
                                                    
                                            ![Anti-beta Catenin antibody [N1N2-2], N-term used in IHC (Whole mount) (IHC-Wm). GTX101435](/upload/website/prouct_img/middle/GTX101435/GTX101435_41801_20150427_IHC-Wm_Z_22111423_173.webp) 
                                                    
                                            ![Anti-beta Catenin antibody [N1N2-2], N-term used in IHC (Paraffin sections) (IHC-P). GTX101435](/upload/website/prouct_img/middle/GTX101435/GTX101435_42536_20190719_IHC-P_C_1_22111423_553.webp) 
                                                    
                                            ![Anti-beta Catenin antibody [N1N2-2], N-term used in Western Blot (WB). GTX101435](/upload/website/prouct_img/middle/GTX101435/GTX101435_42536_20181123_WB_D_22111423_306.webp) 
                                                    
                                            ![Anti-beta Catenin antibody [N1N2-2], N-term used in IHC (Whole mount) (IHC-Wm). GTX101435](/upload/website/prouct_img/middle/GTX101435/GTX101435_42592_20160906_IHC-Wm_Z_22111423_361.webp) 
                                                    
                                            ![Anti-beta Catenin antibody [N1N2-2], N-term used in IHC (Whole mount) (IHC-Wm). GTX101435](/upload/website/prouct_img/middle/GTX101435/GTX101435_42592_20160906_IHC-Wm_Z_1_22111422_726.webp) 
                                                    
                                            ![Anti-beta Catenin antibody [N1N2-2], N-term used in IHC (Paraffin sections) (IHC-P). GTX101435](/upload/website/prouct_img/middle/GTX101435/GTX101435_42536_20190719_IHC-P_C_22111422_979.webp) 
                                                    
                                            ![Anti-beta Catenin antibody [N1N2-2], N-term used in Immunocytochemistry/ Immunofluorescence (ICC/IF). GTX101435](/upload/website/prouct_img/middle/GTX101435/GTX101435_42592_20181206_ICC_IF_D_22111422_126.webp) 
                                                    
                                            ![Anti-beta Catenin antibody [N1N2-2], N-term used in IHC (Paraffin sections) (IHC-P). GTX101435](/upload/website/prouct_img/middle/GTX101435/GTX101435_39876_IHC_22111422_262.webp) 
                                                    
                                            ![Anti-beta Catenin antibody [N1N2-2], N-term used in Western Blot and Immunoprecipitation (WB IP). GTX101435](/upload/website/prouct_img/middle/GTX101435/GTX101435_20240411_citeab_WBIP_3042_24041502_868.webp) 
                                                    
                                            ![Anti-beta Catenin antibody [N1N2-2], N-term used in Western Blot (WB). GTX101435](/upload/website/prouct_img/middle/GTX101435/GTX101435_20240411_citeab_WB_1446_24041501_486.webp) 
                                                    
                                            ![Anti-beta Catenin antibody [N1N2-2], N-term used in Western Blot (WB). GTX101435](/upload/website/prouct_img/middle/GTX101435/GTX101435_20240411_citeab_WB_2494_24041502_566.webp) 
                                                    
                                            - 
                                            宿主Rabbit
- 
                                            克隆Polyclonal
- 
                                                同种型IgG
- 
                                            实验应用WB ICC/IF IHC-P IHC-Fr IHC-Wm FCM IP ChIP assay IHC
- 
                                            种属反应Human, Mouse, Rat, Zebrafish, Rabbit, Cat, Dog
 
                                             
                                            