 
                                                            
                                                        
                                                    beta Tubulin antibody detects beta Tubulin protein by immunofluorescent analysis.Sample: HeLa cells were fixed in 4% paraformaldehyde at RT for 15 min.Green: beta Tubulin stained by beta Tubulin antibody (GTX101279) diluted at 1:500.Blue: Fluoroshield with DAPI (GTX30920).
 
                                                            
                                                        
                                                    beta Tubulin antibody detects beta Tubulin protein by western blot analysis. Various whole cell extracts (30 μg) were separated by 10% SDS-PAGE, and the membrane was blotted with beta Tubulin antibody (GTX101279) diluted at a dilution of 1:3000. The HRP-conjugated anti-rabbit IgG antibody (GTX213110-01) was used to detect the primary antibody.
 
                                                            
                                                        
                                                    
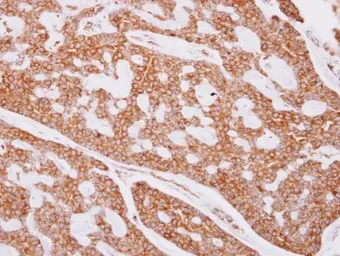
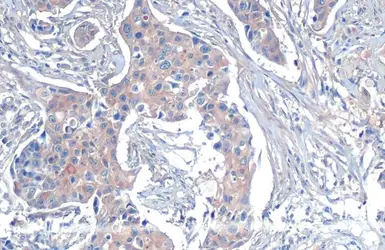
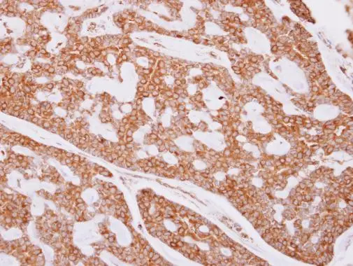
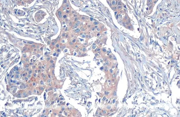
                                                                    beta Tubulin antibody detects beta Tubulin protein at cytoplasm on human breast cancer by immunohistochemical analysis. 
Sample: Paraffin-embedded breast cancer. 
beta Tubulin antibody (GTX101279) dilution: 1:500.
Antigen Retrieval: Trilogy™ (EDTA based, pH 8.0) buffer, 15min
                                                                
 
                                                            
                                                        
                                                    The data was published in the journal Cancer Metab in 2014. PMID: 25225614
 
                                                            
                                                        
                                                    The data was published in the journal Cell Biosci in 2014. PMID: 25126410
 
                                             
                                             
                                             
                                             
                                             
                                             
                                             
                                             
                                             
                                             
                                                    
                                             
                                                    
                                             
                                                    
                                             
                                                    
                                             
                                                    
                                             
                                                    
                                             
                                                    
                                             
                                                    
                                            - 
                                            宿主Rabbit
- 
                                            克隆Polyclonal
- 
                                                同种型IgG
- 
                                            实验应用WB ICC/IF IHC-P IHC-Wm
- 
                                            种属反应Human, Mouse, Rat, Zebrafish, Hamster
