mLST8 / GBL抗体

目录号 GTX132580
目录号  GTX132580
Anti-mLST8 / GBL antibody used in Western Blot (WB). GTX132580
GTX132580 WB Image

Wild-type (WT) and mLST8 / GBL knockout (KO) HeLa cell extracts (30 μg) were separated by 10% SDS-PAGE, and the membrane was blotted with mLST8 / GBL antibody (GTX132580) diluted at 1:2500. The HRP-conjugated anti-rabbit IgG antibody (GTX213110-01) was used to detect the primary antibody, and the signal was developed with Trident ECL plus-Enhanced.

1 / 4
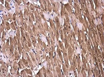
Anti-mLST8 / GBL antibody used in IHC (Paraffin sections) (IHC-P). GTX132580
GTX132580 IHC-P Image

mLST8 / GBL antibody detects mLST8 / GBL protein at cytoplasm in mouse heart by immunohistochemical analysis.
Sample: Paraffin-embedded mouse heart.
mLST8 / GBL antibody (GTX132580) diluted at 1:500.

Antigen Retrieval: Citrate buffer, pH 6.0, 15 min

2 / 4
Anti-mLST8 / GBL antibody used in Western Blot (WB). GTX132580
GTX132580 WB Image

Various whole cell extracts (30 μg) were separated by 10% SDS-PAGE, and the membrane was blotted with mLST8 / GBL antibody (GTX132580) diluted at 1:1000.

3 / 4
Anti-mLST8 / GBL antibody used in IHC (Paraffin sections) (IHC-P). GTX132580
GTX132580 IHC-P Image

mLST8 / GBL antibody detects mLST8 / GBL protein at cytoplasm in rat heart by immunohistochemical analysis.
Sample: Paraffin-embedded rat heart.
mLST8 / GBL antibody (GTX132580) diluted at 1:500.

Antigen Retrieval: Citrate buffer, pH 6.0, 15 min

4 / 4
Anti-mLST8 / GBL antibody used in Western Blot (WB). GTX132580
Anti-mLST8 / GBL antibody used in IHC (Paraffin sections) (IHC-P). GTX132580
Anti-mLST8 / GBL antibody used in Western Blot (WB). GTX132580
Anti-mLST8 / GBL antibody used in IHC (Paraffin sections) (IHC-P). GTX132580
  • 宿主
    Rabbit
  • 克隆
    Polyclonal
  • 同种型
    IgG
  • 实验应用
    WB IHC-P
  • 种属反应
    Human, Mouse, Rat
查看所有 mLST8 / GBL 的产品