mTOR抗体 [C3], C-term

目录号 GTX101557
目录号  GTX101557
Anti-mTOR antibody [C3], C-term used in Western Blot (WB). GTX101557
GTX101557 WB Image

Non-transfected (–) and transfected (+) 293T whole cell extracts (30 μg) were separated by 5% SDS-PAGE, and the membrane was blotted with mTOR antibody [C3], C-term (GTX101557) diluted at 1:500. The HRP-conjugated anti-rabbit IgG antibody (GTX213110-01) was used to detect the primary antibody.

1 / 20
Anti-mTOR antibody [C3], C-term used in Western Blot (WB). GTX101557
GTX101557 WB Image

Various whole cell extracts (30 μg) were separated by 5% SDS-PAGE, and the membrane was blotted with mTOR antibody [C3], C-term (GTX101557) diluted at 1:1000. The HRP-conjugated anti-rabbit IgG antibody (GTX213110-01) was used to detect the primary antibody.

2 / 20
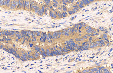
Anti-mTOR antibody [C3], C-term used in IHC (Paraffin sections) (IHC-P). GTX101557
GTX101557 IHC-P Image

mTOR antibody [C3], C-term detects mTOR protein at cytoplasm by immunohistochemical analysis (Autostainer Formulated).
Sample: Paraffin-embedded human colon cancer.
mTOR stained by mTOR antibody [C3], C-term (GTX101557) diluted at 1:500.
Antigen Retrieval: Citrate buffer, 20 min

3 / 20
Anti-mTOR antibody [C3], C-term used in ChIP assay (ChIP assay). GTX101557
GTX101557 ChIP assay Image

Cross-linked ChIP was performed with 293T chromatin extract and 5 μg of either control rabbit IgG or anti-mTOR antibody. The precipitated DNA was detected by PCR with primer set targeting to 45S rDNA promoter .

4 / 20
Anti-mTOR antibody [C3], C-term used in Immunoprecipitation (IP). GTX101557
GTX101557 IP Image

Immunoprecipitation of mTOR protein from 293T whole cell extracts using 5 μg of mTOR antibody [C3], C-term (GTX101557).
Western blot analysis was performed using mTOR antibody [C3], C-term (GTX101557).
EasyBlot anti-Rabbit IgG (GTX221666-01) was used as a secondary reagent.

5 / 20
Anti-mTOR antibody [C3], C-term used in Western Blot (WB). GTX101557
GTX101557 WB Image

mTOR antibody detects mTOR protein by Western blot analysis. Various whole cell extracts (30 μg) were separated by 5% SDS-PAGE, and the membrane was blotted with mTOR antibody (GTX101557) diluted at a dilution of 1:1000.

6 / 20
Anti-mTOR antibody [C3], C-term used in Immunocytochemistry/ Immunofluorescence (ICC/IF). GTX101557
GTX101557 ICC/IF Image

mTOR antibody [C3], C-term detects mTOR protein at cytoplasm by immunofluorescent analysis.
Sample: MCF-7 cells were fixed in ice-cold MeOH for 5 min.
Green: mTOR stained by mTOR antibody [C3], C-term (GTX101557) diluted at 1:2000.
Blue: Hoechst 33342 staining.
Scale bar= 10 μm.

7 / 20
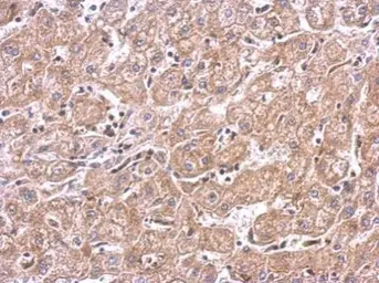
Anti-mTOR antibody [C3], C-term used in IHC (Paraffin sections) (IHC-P). GTX101557
GTX101557 IHC-P Image

mTOR antibody detects FRAP1 protein at cytosol on human hepatoma by immunohistochemical analysis.
Sample: Paraffin-embedded hepatoma.
mTOR antibody (GTX101557) dilution: 1:500.

Antigen Retrieval: Trilogy™ (EDTA based, pH 8.0) buffer, 15min

8 / 20
Anti-mTOR antibody [C3], C-term used in IHC (Paraffin sections) (IHC-P). GTX101557
GTX101557 IHC-P Image

mTOR antibody [C3], C-term detects mTOR protein at cytoplasm in mouse testis by immunohistochemical analysis.
Sample: Paraffin-embedded mouse testis.
mTOR antibody [C3], C-term (GTX101557) diluted at 1:500.

Antigen Retrieval: Citrate buffer, pH 6.0, 15 min

9 / 20
Anti-mTOR antibody [C3], C-term used in Western Blot (WB). GTX101557
GTX101557 WB Image

Various whole cell extracts (30 μg) were separated by 5% SDS-PAGE, and the membrane was blotted with mTOR antibody (GTX101557) diluted at 1:500. The HRP-conjugated anti-rabbit IgG antibody (GTX213110-01) was used to detect the primary antibody. Corresponding RNA expression data for the same cell lines are based on Human Protein Atlas program.

10 / 20
Anti-mTOR antibody [C3], C-term used in Western Blot (WB). GTX101557
GTX101557 WB Image

mTOR antibody detects mTOR protein by western blot analysis. Mouse tissue extracts (50 μg) was separated by 5% SDS-PAGE, and the membrane was blotted with mTOR antibody (GTX101557) diluted by 1:500. The HRP-conjugated anti-rabbit IgG antibody (GTX213110-01) was used to detect the primary antibody.

11 / 20
Anti-mTOR antibody [C3], C-term used in Immunoprecipitation (IP). GTX101557
GTX101557 IP Image

mTOR antibody immunoprecipitates mTOR protein in IP experiments. IP Sample: 293T whole cell lysate/extract A : Control with 3 μg of pre-immune rabbit IgG B : Immunoprecipitation of mTOR by 3 μg of mTOR antibody (GTX101557) 5% SDS-PAGE The immunoprecipitated mTOR protein was detected by mTOR antibody (GTX101557) diluted at 1:1000. EasyBlot anti-rabbit IgG (HRP) (GTX221666-01) was used as a secondary reagent.

12 / 20
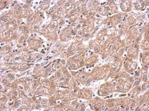
Anti-mTOR antibody [C3], C-term used in IHC (Paraffin sections) (IHC-P). GTX101557
GTX101557 IHC-P Image

mTOR antibody [C3], C-term detects mTOR protein at mitochondria on mouse stomach by immunohistochemical analysis.
Sample: Paraffin-embedded mouse stomach.
mTOR antibody [C3], C-term (GTX101557) diluted at 1:500.

Antigen Retrieval: Trilogy™ (EDTA based, pH 8.0) buffer, 15min

13 / 20
Anti-mTOR antibody [C3], C-term used in Western Blot (WB). GTX101557
GTX101557 WB Image

Whole cell extract (30 μg) was separated by 5% SDS-PAGE, and the membrane was blotted with mTOR antibody [C3], C-term (GTX101557) diluted at 1:1000. The HRP-conjugated anti-rabbit IgG antibody (GTX213110-01) was used to detect the primary antibody.

14 / 20
Anti-mTOR antibody [C3], C-term used in Western Blot (WB). GTX101557
GTX101557 WB Image

The data was published in the journal Aging (Albany NY) in 2019. PMID: 31831718

15 / 20
Anti-mTOR antibody [C3], C-term used in IHC (Paraffin sections) (IHC-P). GTX101557
GTX101557 IHC-P Image

The data was published in the journal Aging (Albany NY) in 2019. PMID: 31831718

16 / 20
Anti-mTOR antibody [C3], C-term used in Western Blot (WB). GTX101557
GTX101557 WB Image

The data was published in the journal Aging (Albany NY) in 2019. PMID: 31831718

17 / 20
Anti-mTOR antibody [C3], C-term used in Western Blot (WB). GTX101557
GTX101557 WB Image

The data was published in the journal Aging (Albany NY) in 2019. PMID: 31831718

18 / 20
Anti-mTOR antibody [C3], C-term used in IHC (Paraffin sections) (IHC-P). GTX101557
GTX101557 IHC-P Image

The data was published in the journal Aging (Albany NY) in 2019. PMID: 31831718

19 / 20
Anti-mTOR antibody [C3], C-term used in Western Blot (WB). GTX101557
GTX101557 WB Image

The data was published in the journal Biol Open in 2015. PMID: 25617421

20 / 20
Anti-mTOR antibody [C3], C-term used in Western Blot (WB). GTX101557
Anti-mTOR antibody [C3], C-term used in Western Blot (WB). GTX101557
Anti-mTOR antibody [C3], C-term used in IHC (Paraffin sections) (IHC-P). GTX101557
Anti-mTOR antibody [C3], C-term used in ChIP assay (ChIP assay). GTX101557
Anti-mTOR antibody [C3], C-term used in Immunoprecipitation (IP). GTX101557
Anti-mTOR antibody [C3], C-term used in Western Blot (WB). GTX101557
Anti-mTOR antibody [C3], C-term used in Immunocytochemistry/ Immunofluorescence (ICC/IF). GTX101557
Anti-mTOR antibody [C3], C-term used in IHC (Paraffin sections) (IHC-P). GTX101557
Anti-mTOR antibody [C3], C-term used in IHC (Paraffin sections) (IHC-P). GTX101557
Anti-mTOR antibody [C3], C-term used in Western Blot (WB). GTX101557
Anti-mTOR antibody [C3], C-term used in Western Blot (WB). GTX101557
Anti-mTOR antibody [C3], C-term used in Immunoprecipitation (IP). GTX101557
Anti-mTOR antibody [C3], C-term used in IHC (Paraffin sections) (IHC-P). GTX101557
Anti-mTOR antibody [C3], C-term used in Western Blot (WB). GTX101557
Anti-mTOR antibody [C3], C-term used in Western Blot (WB). GTX101557
Anti-mTOR antibody [C3], C-term used in IHC (Paraffin sections) (IHC-P). GTX101557
Anti-mTOR antibody [C3], C-term used in Western Blot (WB). GTX101557
Anti-mTOR antibody [C3], C-term used in Western Blot (WB). GTX101557
Anti-mTOR antibody [C3], C-term used in IHC (Paraffin sections) (IHC-P). GTX101557
Anti-mTOR antibody [C3], C-term used in Western Blot (WB). GTX101557
  • 宿主
    Rabbit
  • 克隆
    Polyclonal
  • 同种型
    IgG
  • 实验应用
    WB ICC/IF IHC-P IP ChIP assay
  • 种属反应
    Human, Mouse, Rat
摘要
mTOR antibody recognizes the mammalian target of rapamycin (mTOR), a member of the phosphatidylinositol 3-kinase-related kinase family of protein kinases. The mTOR protein consists of 2549 amino acids, and has a predicted molecular weight of 289 kDa. mTOR is the core protein of two mTOR complexes (mTORC1 and mTORC2) that drive pathways controlling various fundamental cellular functions, including cell metabolism, growth, migration, and cell death.
查看所有 mTOR 的产品