p21 Cip1抗体 [GT1032]

目录号 GTX629543
目录号  GTX629543
Anti-p21 Cip1 antibody [GT1032] used in Western Blot (WB). GTX629543
GTX629543 WB Image

Wild-type (WT) and p21 Cip1 knockout (KO) HeLa cell extracts (30 μg) were separated by 15% SDS-PAGE, and the membrane was blotted with p21 Cip1 antibody [GT1032] (GTX629543) diluted at 1:1000. The HRP-conjugated anti-mouse IgG antibody (GTX213111-01) was used to detect the primary antibody, and the signal was developed with Trident ECL plus-Enhanced.

1 / 11
Anti-p21 Cip1 antibody [GT1032] used in Immunoprecipitation (IP). GTX629543
GTX629543 IP Image

p21 Cip1 antibody [GT1032] immunoprecipitates CDKN1A protein in IP experiments.
IP samples: HCT-116 whole cell extract treat with 30uM cisplatin for 48 hr
A. 30 μg HCT-116 whole cell extract treat with 30uM cisplatin for 48 hr
B. Control with 4 μg of preimmune Mouse IgG
C. Immunoprecipitation of CDKN1A protein by 4 μg p21 Cip1 antibody [GT1032] (GTX629543)
15 % SDS-PAGE
The immunoprecipitated CDKN1A protein was detected by p21 Cip1 antibody [GT1032] (GTX629543) diluted at 1:1000.
[EasyBlot anti-mouse IgG (GTX221667-01) was used as a secondary reagent]

2 / 11
Anti-p21 Cip1 antibody [GT1032] used in Western Blot (WB). GTX629543
GTX629543 WB Image

Untreated (–) and treated (+) HCT 116 whole cell extracts (30 μg) were separated by 15% SDS-PAGE, and the membrane was blotted with p21 Cip1 antibody [GT1032] (GTX629543) diluted at 1:1000. The HRP-conjugated anti-mouse IgG antibody (GTX213111-01) was used to detect the primary antibody.

3 / 11
Anti-p21 Cip1 antibody [GT1032] used in Western Blot (WB). GTX629543
GTX629543 WB Image

Untreated (–) and treated (+) HCT-116 whole cell extracts (30 μg) were separated by 15% SDS-PAGE, and the membrane was blotted with p21 Cip1 antibody [GT1032] (GTX629543) diluted at 1:5000. The HRP-conjugated anti-mouse IgG antibody (GTX213111-01) was used to detect the primary antibody.

4 / 11
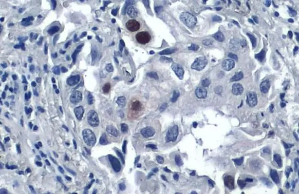
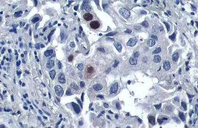
Anti-p21 Cip1 antibody [GT1032] used in IHC (Paraffin sections) (IHC-P). GTX629543
GTX629543 IHC-P Image

p21 Cip1 antibody [GT1032] detects p21 Cip1 protein at nucleus by immunohistochemical analysis.
Sample: Paraffin-embedded human lung cancer.
p21 Cip1 stained by p21 Cip1 antibody [GT1032] (GTX629543) diluted at 1:200.
Antigen Retrieval: Citrate buffer, pH 6.0, 15 min

5 / 11
Anti-p21 Cip1 antibody [GT1032] used in Flow cytometry (FCM). GTX629543
GTX629543 FCM Image

p21 Cip1 antibody [GT1032] (GTX629543) detects p21 Cip1 by flow cytometry analysis.
Sample: HepG2 cell.
Black: Unlabelled sample was used as a control.
Red: p21 Cip1 antibody [GT1032] (GTX629543) dilution: 1:50.
Acquisition of 20,000 events were collected for FACS analysis.

6 / 11
Anti-p21 Cip1 antibody [GT1032] used in Immunocytochemistry/ Immunofluorescence (ICC/IF). GTX629543
GTX629543 ICC/IF Image

p21 Cip1 antibody [GT1032] detects p21 Cip1 protein at nucleus by immunofluorescent analysis.
Sample: MCF7 cells were fixed in 4% paraformaldehyde at RT for 15 min.
Green: CDK4 protein stained by CDK4 antibody (GTX102993) diluted at 1:1000.
Red: p21 Cip1 protein stained by p21 Cip1 antibody [GT1032] (GTX629543) diluted at 1:500.
Blue: Hoechst 33342 staining.

7 / 11
Anti-p21 Cip1 antibody [GT1032] used in Immunocytochemistry/ Immunofluorescence (ICC/IF). GTX629543
GTX629543 ICC/IF Image

p21 Cip1 antibody [GT1032] detects p21 Cip1 protein at nucleus by immunofluorescent analysis.
Sample: Mock and treated HCT116 cells were fixed in 4% paraformaldehyde at RT for 15 min.
Green: p21 Cip1 stained by p21 Cip1 antibody [GT1032] (GTX629543) diluted at 1:500.
Blue: Hoechst 33342 staining.
Scale bar= 10 μm.

8 / 11
Anti-p21 Cip1 antibody [GT1032] used in Western Blot (WB). GTX629543
GTX629543 WB Image

The data was published in the journal PLoS One in 2015. PMID: 25961745

9 / 11
Anti-p21 Cip1 antibody [GT1032] used in Western Blot (WB). GTX629543
GTX629543 WB Image

The data was published in the journal PLoS One in 2015. PMID: 25961745

10 / 11
Anti-p21 Cip1 antibody [GT1032] used in Western Blot (WB). GTX629543
GTX629543 WB Image

The data was published in the journal PLoS One in 2015. PMID: 25961745

11 / 11
Anti-p21 Cip1 antibody [GT1032] used in Western Blot (WB). GTX629543
Anti-p21 Cip1 antibody [GT1032] used in Immunoprecipitation (IP). GTX629543
Anti-p21 Cip1 antibody [GT1032] used in Western Blot (WB). GTX629543
Anti-p21 Cip1 antibody [GT1032] used in Western Blot (WB). GTX629543
Anti-p21 Cip1 antibody [GT1032] used in IHC (Paraffin sections) (IHC-P). GTX629543
Anti-p21 Cip1 antibody [GT1032] used in Flow cytometry (FCM). GTX629543
Anti-p21 Cip1 antibody [GT1032] used in Immunocytochemistry/ Immunofluorescence (ICC/IF). GTX629543
Anti-p21 Cip1 antibody [GT1032] used in Immunocytochemistry/ Immunofluorescence (ICC/IF). GTX629543
Anti-p21 Cip1 antibody [GT1032] used in Western Blot (WB). GTX629543
Anti-p21 Cip1 antibody [GT1032] used in Western Blot (WB). GTX629543
Anti-p21 Cip1 antibody [GT1032] used in Western Blot (WB). GTX629543
  • 宿主
    Mouse
  • 克隆
    Monoclonal
  • 克隆编号
    GT1032
  • 同种型
    IgG2a
  • 实验应用
    WB ICC/IF IHC-P FCM IP
  • 种属反应
    Human, Mouse
摘要
p21 (Cip1) antibody recognizes p21Cip1 protein, a cyclin-dependent kinase inhibitor with a predicted molecular weight of 18 kDa. p21 is a major downstream regulator of p53 activity in response to DNA damage to control cell cycle arrest. p21 also interacts with proliferating cell nuclear antigen (PCNA) to inhibit PCNA-dependent S-phase DNA synthesis.
查看所有 p21 Cip1 的产品