cardiovascular
心血管系统由心脏和循环系统组成,它负责将富含氧气和营养的血液输送到身体细胞,以及带走这些细胞所产生的二氧化碳和废物,衬在心脏、血管和淋巴管系统上的是内皮细胞,它们一起形成半选择性屏障,对大分子的跨细胞转运、止血、免疫反应、血管生成、循环因子的代谢和血管张力至关重要,内皮细胞功能障碍的心血管疾病,仍然是引起全球发病率和死亡率的主要原因。
Highlighted Products
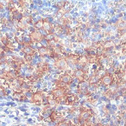
FCER1G antibody [HL1418] (GTX636884)

FCER1G antibody [HL1418] (GTX636884)

Orthogonal Validation
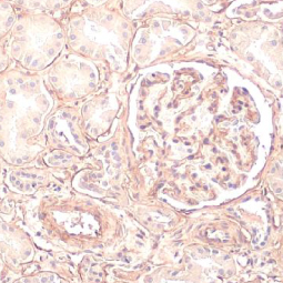
COL4A1 antibody [HL1351] (GTX636771)

COL4A1 antibody [HL1351] (GTX636771)

Orthogonal Validation
Cardiac Troponin I antibody [HL1489] (GTX636963)

Cardiac Troponin I antibody [HL1489] (GTX636963)

Orthogonal Validation