Cardiomyocytes

 

Cardiomyocytes make up the striated heart muscle. Unlike skeletal muscle cells, cardiomyocytes have a branching morphology.

 

热门研究产品
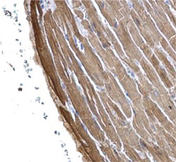
Cardiac Troponin T antibody [1C11] GTX28295

Cardiac Troponin T antibody (GTX28295)

Cardiac Troponin I antibody [N1C3] GTX109331

Cardiac Troponin I antibody (GTX109331)

 
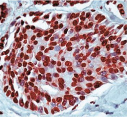
Nkx2.5 antibody GTX133155

Nkx2.5 antibody
(GTX133155)

 
MYH6 antibody [GT5612] GTX632649

MYH6 antibody
(GTX632649)