Search Results
-
¥7500500 μl
-
描述 Rabbit Monoclonal实验应用 WB ICC/IF IHC-P FCM种属反应 HuSummary This antibody was raised against human PD-L1 Intracellular domain, and it does not cross with PD-L2 protein.
¥4000100 μl¥170025 μl -
描述 Rabbit Monoclonal实验应用 WB ICC/IF种属反应 HuSummary This antibody was raised against human PD-L1 Intracellular domain, and it does not cross react with human PDL2 protein.
¥4000100 μl¥170025 μl -
描述 Rabbit Polyclonal实验应用 WB ICC/IF IHC-P IHC-Fr FCM种属反应 HuSummary This antibody is specific for human PDL1 protein, and it does not cross react with human PDL2 protein.
KO/KD validation is based on published data (PMID: 31905966 and 33608051).¥4000100 μl¥170025 μl -
¥4000100 μl¥170025 μl
-
描述 Rabbit Monoclonal实验应用 WB ICC/IF FCM种属反应 HuSummary The Knockout validations were performed by both WB and ICC/IF assay. This antibody was raised against human PD-L1 Intracellular domain.
¥4000100 μl¥170025 μl -
描述 Rabbit Monoclonal实验应用 IHC-P种属反应 HuSummary Highly recommended for IHC-P in human tissues. Autostainer protocol information available.
¥6500500 μl¥3300100 μl -
¥4000100 μl¥170025 μl
-
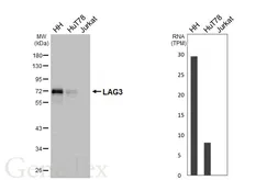
描述 Rabbit Monoclonal实验应用 WB种属反应 HuSummary This antibody was raised against human LAG3 Extracellular domain.
¥4000100 μl¥170025 μl -
描述 Mouse Monoclonal实验应用 WB ICC/IF IHC-Fr FCM IP种属反应 Hu, Dog
Summary Domain depletion epitope mapping studies indicate that the binding site of Mouse anti Human CD86, clone Bu63 is located within the Ig-v-like domain of human CD86 (Jeanin et al. 1997).
¥6500200 μg
Recombinant antibody
KO/KD
Comparison
Orthogonal
Overexpression
Carrier-Free
HistoMAX