|  | 
大肠癌(CRC)是全球最常见的癌症之一,每年导致超过一百万患者的死亡,总体五年生存率约为65%,会随着临床阶段而不同(1),然而,像许多其他恶性肿瘤一样,早期大肠癌可能不会引起癌症特异性症状,因此,定期进行大便潜血测试和结肠镜检查是必须的,CRC的生物标志物已被广泛研究,癌胚抗原(CEA)和CA19-9是最完善的预后因素。
| 
 | 
|  | |||||
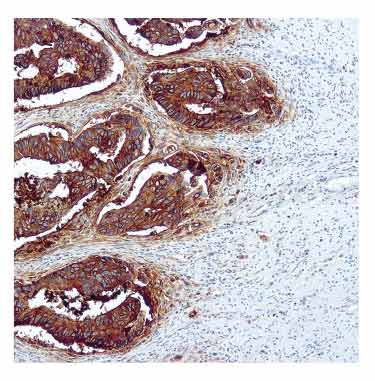
癌胚抗原(CEA)是一种在胚胎表皮组织中表达的糖蛋白,可形成消化道和呼吸道的上皮层,尽管通常在健康成年人中检出的水平较低,但在吸烟者和患有各种非肿瘤性疾病的患者中,其水平可能升高,然而,在某些恶性肿瘤(包括CRC、胰腺癌以及子宫颈内膜和卵巢的特定肿瘤)中也观察到CEA升高,根据实际血清CEA值,医生应怀疑是恶性或转移性疾病,数据支持使用该肿瘤标志物检测CRC复发、预后和对治疗的反应,CEA抗体通常用于免疫组化(IHC),以研究肿瘤进展和肿瘤表征,GeneTex的CEA antibody [COL-1]是一个已被文献引用的单克隆抗体,其在人结肠癌组织中证明可用于IHC (图一)。
| ![CEA antibody [Col-1] CEA antibody [Col-1]](/upload/media/research/Tumor%20Markers/Colorectal-Cancer-Tumor-Markers/GTX17254.jpg) | 
图一、 GeneTex的CEA antibody [COL-1] (GTX17254) 用于人类结肠癌组织切片的IHC-P实验。
|  | |||||
表: 与大肠癌相关的标志
| 
 | 
参考文献
