|  | 
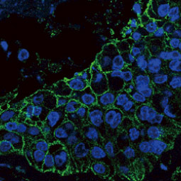
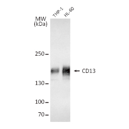
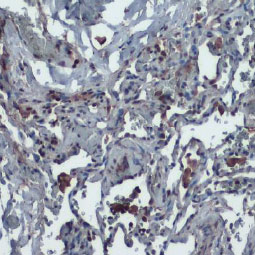
| 动物病毒的感染是通过病毒与宿主细胞结合而引发的,由于不同病毒之间存在相当大的复杂性和可变性,因此描述后续的病毒感染机制是一个深入研究的领域。然而,此过程(尤其是某些包膜病毒)的一般流程涉及以下步骤: (1) 病毒附着于宿主细胞受体,(2) 细胞信号通路激活,(3) 胞吞作用,(4) 细胞膜渗透和细胞内运输,(5) 病毒基因组脱壳。然后,病毒基因组能够在感染细胞内表达、复制、包装和释出再感染其他细胞,了解感染过程中病毒/宿主细胞相互作用的分子事件,对于找到潜在的药理干预靶标至关重要。 GeneTex为传染性疾病研究提供优质的抗体,包括病毒附着、内化和渗透等,这些抗体经过各种应用验证,以帮助您在这个令人兴奋的领域中努力,请查看下面显示的热门研究产品,并访问GeneTex网站以获取更多信息和完整的产品列表。 | 
| 热门研究产品 | |||||
| 
 | |||||
| 
 | ||||||||||||
| 
 | 
 
    



![ACE2 antibody [N1N2], N-term (GTX101395) ACE2 antibody [N1N2], N-term (GTX101395)](/upload/media/research/Infectious-Diseases/virus-entry-into-host-cells/data/GTX101395.jpg)




![TMPRSS2 antibody [N2C3] (GTX100743) TMPRSS2 antibody [N2C3] (GTX100743)](/upload/media/research/Infectious-Diseases/virus-entry-into-host-cells/data/GTX100743.jpg)


![ICAM1 / CD54 antibody [N1C2] (GTX100450) ICAM1 / CD54 antibody [N1C2] (GTX100450)](/upload/media/research/Infectious-Diseases/virus-entry-into-host-cells/data/GTX100450.jpg)
