![]() |
| 肌萎缩性侧索硬化症(ALS)是一种致命的成人发作性神经退行性疾病,其特征是上、下运动神经元的逐渐丧失功能, ALS的主要临床表现是肌肉无力和萎缩,因此影响言语、吞咽和运动,呼吸衰竭是通常在诊断后3-5年内死亡的最常见原因,尽管病因尚不清楚,但最近的研究已经确定了与该疾病相关的几种基因,包括SOD1,TARDBP,FUS,C9orf72,C21orf2和最近的NEK1。 |
|
GeneTex提供针对以上与ALS靶标相关的抗体,请参阅下面热门研究产品,以查找助力您进行ALS研究的试剂。 |
| 热门研究产品 | |||||
|
|
|||||
|
|
|
||||||||||
|
|
|
||||||||||
|
|
-Research/825x250_ALS_slide.jpg)
-Research/ALS/C9orf72-antibody-(GTX634482).jpg)
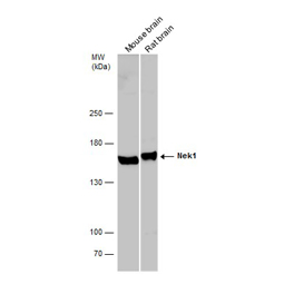
-Research/ALS/Nek1-antibody-(GTX130828).jpg)
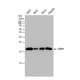
-Research/ALS/SOD1-antibody-(GTX100659).jpg)
-Research/SOD1_antibody(GTX57211).jpg)
-Research/ALS/TDP43-antibody-(GTX114210).jpg)
-Research/ALS/VCP-antibody-(GTX113030).jpg)
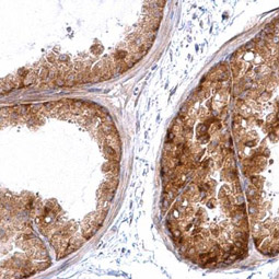
![C21orf2 antibody [N1C2]](/upload/media/research/neuro/Amyotrophic-Lateral-Sclerosis-(ALS)-Research/ALS/C21orf2-antibody-(GTX119046).jpg)
-Research/ALS/HSC70-antibody-(GTX111069).jpg)