
内质网是由扁平的、相连的囊组成的真核膜细胞器,负责膜蛋白和分泌型蛋白的合成,以及它们随后的适当折叠和翻译后修饰,内质网可分为两种不同的类型: 粗糙内质网和平滑内质网。粗糙内质网有大量核糖体附着以合成膜和分泌型蛋白质,并与核膜管腔具有一定的连续性,平滑内质网没有核糖体附着,其与脂质代谢有关,可溶性蛋白通过囊泡从内质网转运到高尔基体,以进行进一步修饰,随后在预定与细胞膜融合的囊泡中从高尔基体中释放出来,当各种传感器(包括PERK, IRE1和ATF6)检测到未折叠或错误折叠的蛋白质累积时,就会触发内质网质量控制机制,内质网应激与多种疾病相关,包括癌症、糖尿病、炎性疾病和神经退行性疾病。
GeneTex为内质网研究提供出色的抗体,这些抗体经过验证可用于各种应用,并且是我们支持细胞器蛋白质研究的试剂目录中的重要组成部分,请在下面查看热门研究产品。
| 热门研究产品 | |||||
| 
 | |||||
| 
 | 
 | 
 | |||||||||
| 
 | 
 | 
 | 
 
    









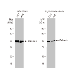
![Calnexin antibody [C3], C-term](/upload/media/research/Organelle%20Markers/Endoplasmic%20Reticulum/GTX109669.jpg)






![PDI antibody [N1N3]](/upload/media/research/Organelle%20Markers/Endoplasmic%20Reticulum/GTX101468.jpg)