Breast Cancer Tumor Markers

乳腺癌是女性最常见的恶性肿瘤,但也会发生于男性(1),风险因素包括女性、年龄、家族史、吸烟、代谢综合症和遗传易感性等,乳腺癌有多种类型,最常见的是原位导管癌(DCIS)浸润性导管癌(IDC),不表达或低表达HER2、雌激素受体和孕激素受体的三阴性乳腺癌,占病例10-15%,并且特别具有侵略性。

查看所有相关产品

 

 
 

HER2也称为原癌基因Neu或ERBB2,是人表皮生长因子受体酪氨酸激酶家族的成员,GeneTex的HER2/ERBB2抗体(GTX100509)在WB实验中,对HER2蛋白的检测具有特异性,且在HER2阳性乳腺肿瘤切片的IHC-P染色,产生预期的表达模式(图一)。

Her2 / ErbB2 antibody


图一、GeneTex的HER2/ERBB2 antibody (GTX100509)对HER2表达具有敏感性与特异性(左),在IHC-P实验中,将此抗体以1:500和其他厂商抗体1:100的稀释度进行并排比较(右)。

 

 
 

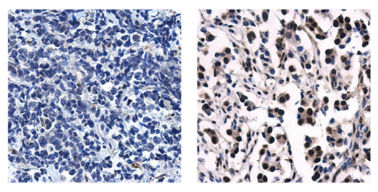
乳腺癌中的雌激素受体α (ERα)和β(ERβ)具有不同的细胞分布,调节不同的基因群,并且彼此相对独立(2),ERα和ERβ已被广泛研究,并做为开发对抗荷尔蒙阳性乳腺癌疗法的靶标,GeneTex的Estrogen Receptor Alpha antibody [1F3] (GTX70171)是一种小鼠单克隆抗体,其敏感性和特异性已被GeneTex严格验证,并已在许多期刊发表,Estrogen Receptor Beta antibody [14C8] (GTX70174)是最常用于检测ERβ的抗体之一,且已被文献引用超过100次。


图二、GeneTex的Estrogen Receptor Alpha antibody [1F3] (GTX70171) (左)和Estrogen Receptor Beta antibody [14C8] (GTX70174) (右)具有优越的特异性,并在多种期刊中得到了充分验证。

 

 
 

孕激素受体(PR)是众所周知的雌激素受体(ER)靶标基因,在超过三分之二的ER阳性乳腺癌中表达(3),它充当信号辅导途径(即MAPK, PI3K/Akt和c-Src)的转录调节剂和激活剂,可以驱动乳腺细胞中的增殖信号传导(4),GeneTex的Progesterone Receptor antibody [N1], N-term (GTX116051)是为IHC-P开发的,它在PR阴性和PR阳性乳腺肿瘤组织切片上显示出明显的染色差异(图三)。

Progesterone Receptor antibody [N1], N-term


图三、 GeneTex的Progesterone Receptor antibody [N1], N-term (GTX116051)在PR阴性乳癌组织切片的染色结果为阴性(左)而PR阳性的切片则显示很强的核染色(右)。

 

 
 

BRCA1中的某些遗传突变是乳腺癌的既定驱动因素,GeneTex的BRCA1 antibody [17F8] (GTX70111)是被高度引用的单克隆抗体,已针对WB, ICC/IF, IHC-P, IP, ELISA和ChIP等多种应用进行了验证(图4)。

BRCA1 antibody [17F8] - ChIP grade


图四、GeneTex的BRCA1 antibody [17F8] (GTX70111)已通过基因敲除细胞裂解液的WB(左)和癌组织切片的IHC-P验证(右)。

 

表: 与乳腺癌相关的标志

Product Name Reactivity Applications Cat. No.
BRCA1 antibody [17F8] - ChIP grade Hu, Ms WB, ICC/IF, IHC-P, IP, ELISA, ChIP assay, IHC GTX70111
BRCA2 antibody [5F6] Hu WB, IHC-P, IHC-Fr GTX70123
Estrogen Receptor alpha antibody [1F3] Hu, Rb WB, IHC-Fr, FACS, IP GTX70171
Estrogen Receptor beta antibody [14C8] Hu, Ms, Mk WB, ICC/IF, IHC-P, IHC-Fr, FACS, Dot, ChIP assay, IHC GTX70174
Progesterone Receptor antibody [N1], N-term Hu ICC/IF, IHC-P GTX116051
Her2 / ErbB2 antibody Hu WB, IHC-P GTX100509
uPA antibody Hu, Ms, Rat WB, IHC-P, IHC-Fr, ELISA GTX79597
PAI-1 antibody [1D5] Hu, Ms WB, IHC-P, FACS, ELISA GTX60537
CA125 antibody [OV185:1] Hu IHC-P GTX20697
CEA antibody [Col-1] Hu IHC-P GTX17254
p53 antibody [DO1] Hu, Ms WB, ICC/IF, IHC-P, IHC-Fr, FACS, IP, ELISA GTX70214
Ki67 antibody [SP6] Hu, Ms, Rat, Chk WB, ICC/IF, IHC-P, IHC-Fr, FACS, IHC GTX16667

 

参考文献

  1. Lancet. 2017 Mar 18;389(10074):1134-1150.
  2. Endocr Relat Cancer. 2002 Mar;9(1):1-13.
  3. J Clin Oncol. 2007 Oct 20;25(30):4772-8.
  4. Expert Rev Endocrinol Metab. 2011 May 1;6(3):359-369.