CN
联系我们
CN
联系我们
登录
产品
一抗
二抗
HistoMAX™ 免疫组化严选抗体
G 蛋白偶联受体
抗体套装
ELISA抗体对和试剂盒
同型对照
蛋白质和多肽
切片
裂解液
血清和血浆
试剂
研究试剂盒
研究工具
多克隆抗体
单克隆抗体
重组抗体
抗兔二抗
抗小鼠二抗
抗仓鼠二抗
抗大鼠二抗
抗山羊二抗
抗绵羊二抗
抗鸡二抗
EasyBlot二抗(适用于IP / WB)
Overview
Overview
一抗套装
二抗套装
ELISA试剂盒
ELISA抗体对
人类免疫球蛋白
兔免疫球蛋白
小鼠免疫球蛋白
仓鼠免疫球蛋白
大鼠免疫球蛋白
山羊免疫球蛋白
绵羊免疫球蛋白
其他同型对照
蛋白质
多肽
凝集素
链亲和素
蛋白质A / G
组织切片
细胞切片
细胞和组织阵列
人类配对组织阵列
组织蜡块
组织裂解液
细胞裂解液
血清
血浆
Trident 蛋白质印迹试剂
抗原修复试剂
封闭试剂
缓冲液
复染染料
洗涤液
封片剂
信号增强剂
活化剂/抑制剂
底物
Trident蛋白质提取试剂盒
EasyBlot试剂和试剂盒
分析试剂盒
核苷酸/质粒
Overview
资源
研究
奖励计划
研究资讯
会议与活动
科研海报
生物信息工具
支持
实验方法
客制抗体
抗体耦联服务
满意保证
FAQs
技术支持
联系我们
公司
关于我们
GeneTex 的创始科学家
快速下单
继续下单
0
登录
GeneTex中文官方网站
Search
Search suggestions
脂解和β-氧化
脂解热门专区
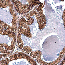
ATGL antibody [N1C1]
(GTX109941)
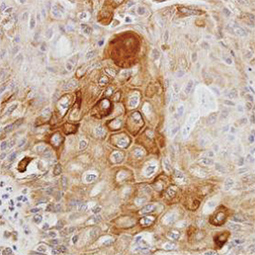
Monoglyceride lipase antibody
(GTX103517)
Glycerol kinase 2 antibody [N1C1]
(GTX103519)
GK5 antibody
(GTX107498)
β-氧化热门专区
FACL4 antibody [C3], C-term
(GTX100260)
ACADM antibody
(GTX100488)
ECHS1 antibody [N1C2]
(GTX114376)
ACAA2 antibody
(GTX115417)